Đừng chủ quan với say nắng trong những ngày oi bức
Mùa hè là thời điểm nhiều hoạt động ngoài trời diễn ra sôi động, nhưng cũng là lúc nguy cơ say nắng, say nóng tăng cao. Đây không chỉ là cảm giác mệt mỏi thoáng qua mà là tình trạng cấp tính do cơ thể bị quá tải nhiệt, có thể dẫn đến biến chứng nặng nếu không xử trí kịp thời.
Các bệnh liên quan
Những dấu hiệu sớm của đột quỵ cần đặc biệt lưu ý
Đột quỵ không phải lúc nào cũng biểu hiện rõ ràng như méo miệng hay yếu liệt, nhiều trường hợp chỉ xuất hiện những dấu hiệu rất dễ bị bỏ qua khiến người bệnh mất “thời gian vàng” điều trị.
Multimedia
Theo dõi trên:Video
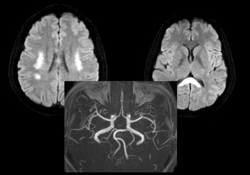
Chóng mặt kéo dài, coi chừng đột quỵ: Bác sĩ cảnh báo dấu hiệu dễ nhầm lẫn
Chóng mặt là triệu chứng rất phổ biến, nhưng không phải lúc nào cũng vô hại. Trong nhiều trường hợp, đây có thể là dấu hiệu cảnh báo sớm của đột quỵ, đặc biệt khi kéo dài, dữ dội hoặc kèm theo các biểu hiện bất thường. Các bác sĩ khuyến cáo người dân cần nhận biết đúng để tránh nhầm lẫn nguy hiểm và không bỏ lỡ “thời gian vàng” điều trị.
Sống sót sau đột quỵ, làm gì để không bị lần 2?
Giới trẻ và đột quỵ: Khi lối sống hiện đại trở thành sát thủ âm thầm
Giải mã mối quan hệ nguy hiểm giữa đái tháo đường và đột quỵ
Phòng Tránh Đột Quỵ – Bắt Đầu Từ 5 Bài Tập Đơn Giản
Ngăn đột quỵ ngay từ phút đầu – Những điều nên biết
7 tình huống khiến đường huyết tăng vọt có thể bạn chưa biết
Đừng chủ quan với say nắng trong những ngày oi bức
Mùa hè là thời điểm nhiều hoạt động ngoài trời diễn ra sôi động, nhưng cũng là lúc nguy cơ say nắng, say nóng tăng cao. Đây không chỉ là cảm giác mệt mỏi thoáng qua mà là tình trạng cấp tính do cơ thể bị quá tải nhiệt, có thể dẫn đến biến chứng nặng nếu không xử trí kịp thời.
Vừa thuyên tắc phổi vừa ung thư dạ dày, làm sao ngừa đột quỵ?
Cha tôi bị thuyên tắc phổi và ung thư dạ dày cần được điều trị ra sao? Có liệu pháp nào giúp chúng ta phòng ngừa đột quỵ hay không? (Minh Nguyên)



























































">
">
"> 
