Phân biệt khó thở do suy tim và hen suyễn
Khó thở là triệu chứng thường gặp, nhưng không phải lúc nào cũng do cùng một nguyên nhân. Trong thực hành lâm sàng, hai tình trạng dễ gây nhầm lẫn là khó thở do suy tim và khó thở do hen suyễn. Việc phân biệt đúng có ý nghĩa quan trọng trong xử trí và điều trị.
\nChưa được phân loại
Gia đình đóng vai trò gì trong hành trình hồi phục của bệnh nhân đặt stent?
Sau đặt stent mạch vành, việc hồi phục của người bệnh không chỉ phụ thuộc vào kỹ thuật can thiệp hay thuốc điều trị. PGS.TS.BS Trần Hòa – Phó Trưởng khoa Can thiệp Tim mạch, Bệnh viện Đại học Y Dược TPHCM sẽ phân tích vai trò của gia đình trong việc hỗ trợ tuân thủ điều trị, thay đổi lối sống và phục hồi lâu dài cho người bệnh.
\nMultimedia
Theo dõi trên:Video
Hướng dẫn kỹ năng “Ép tim – thổi ngạt” để cứu người
Thời gian gần đây, các ca ngưng tim, ngưng thở xảy ra nhiều hơn, trong đó không ít trường hợp diễn ra ngay tại nhà hoặc nơi công cộng trước khi kịp tiếp cận y tế. Ít ai biết rằng vài phút đầu tiên chính là “thời gian vàng” quyết định sự sống còn. Video dưới đây hướng dẫn quy trình ép tim, thổi ngạt theo chuẩn lâm sàng, giúp mỗi người biết cách xử trí đúng khi khẩn cấp xảy ra, bảo vệ chính mình và hỗ trợ người xung quanh.
\nSống sót sau đột quỵ, làm gì để không bị lần 2?
Giới trẻ và đột quỵ: Khi lối sống hiện đại trở thành sát thủ âm thầm
Giải mã mối quan hệ nguy hiểm giữa đái tháo đường và đột quỵ
Phòng Tránh Đột Quỵ – Bắt Đầu Từ 5 Bài Tập Đơn Giản
Ngăn đột quỵ ngay từ phút đầu – Những điều nên biết
7 tình huống khiến đường huyết tăng vọt có thể bạn chưa biết
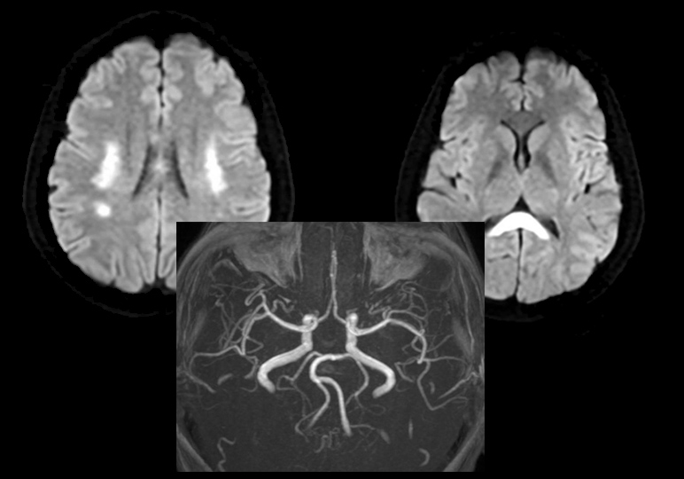
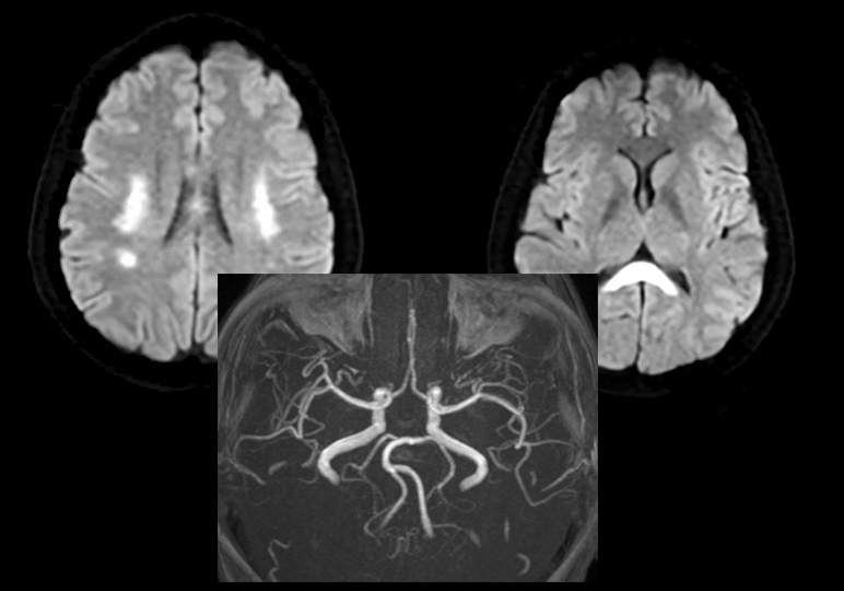
Đột quỵ ở phụ nữ sau IVF: Khi can thiệp sinh sản trở thành yếu tố nguy cơ tiềm ẩn
Không có tiền sử đột quỵ, không bệnh nền tim mạch, một phụ nữ 42 tuổi bất ngờ nhập viện vì nói đớ sau khi thực hiện thụ tinh trong ống nghiệm (IVF).
\nBệnh nhân ung thư có nguy cơ thuyên tắc huyết khối cao gấp mấy lần người bình thường?
Ông tôi nhập viện để điều trị ung thư và phải nằm viện vài ngày. Sau bao lâu, ông tôi có thể đánh giá thuyên tắc tĩnh mạch? Nguy cơ thuyên tắc huyết khối của ông cao gấp mấy lần người bình thường? (Quốc Quân)
\n



























































">
">
"> 
