Nữ bệnh nhân 24 tuổi lỡ “giờ vàng” điều trị đột quỵ do chẩn đoán thiếu canxi 

Nữ bệnh nhân (24 tuổi, Bến Tre) đang điều trị tại Bệnh viện Đa khoa Quốc tế S.I.S Cần Thơ do nhồi máu não. Bệnh nhân nhập viện khi đã quá giờ vàng do chẩn đoán thiếu canxi.

20-07-2023 06:00
Theo dõi trên |

Theo thông tin từ người nhà, bệnh nhân này khi đang tập gym thì bị té xỉu. Ngay sau đó, được đưa vào bệnh viện tại địa phương, tiến hành chụp CT và được chẩn đoán thiếu canxi. Sau khi nằm viện một đêm, thấy bệnh nhân không có tiến triển nhưng bác sĩ vẫn để xuất viện.

Người nhà tiếp tục chuyển bệnh nhân đến Bệnh viện Đa khoa Quốc tế S.I.S Cần Thơ. Tại đây, các bác sĩ tiến hành kiểm tra, chụp CT, MRI… Kết quả cho thấy bệnh nhân bị nhồi máu não. Sau hôn mê 2 ngày, bệnh nhân tỉnh lại, tiếp tục nằm tại bệnh viện theo dõi và xuất viện sau đó 10 ngày khi đã có dấu hiệu phục hồi.

Tuy sức khỏe đã ổn định, nhưng nhận thấy tay chân còn yếu, nên người nhà đã đưa bệnh nhân quay lại Bệnh viện S.I.S Cần Thơ, đăng ký tập vật lý trị liệu. 

Bác sĩ Bệnh viện Đa khoa Quốc tế S.I.S Cần Thơ tập vật lý trị liệu cho bệnh nhân (Ảnh: BVCC)

Bác sĩ tại S.I.S cho biết, bệnh nhân mắc chứng rối loạn ngôn ngữ sau đột quỵ, những ngày đầu tập vật lý trị liệu, chị không viết ra được suy nghĩ của mình, nhưng đến nay đã thực hiện được điều này. Bệnh nhân cần tiếp tục tập vật lý trị liệu thêm một thời gian kết hợp điều trị bằng thuốc. 

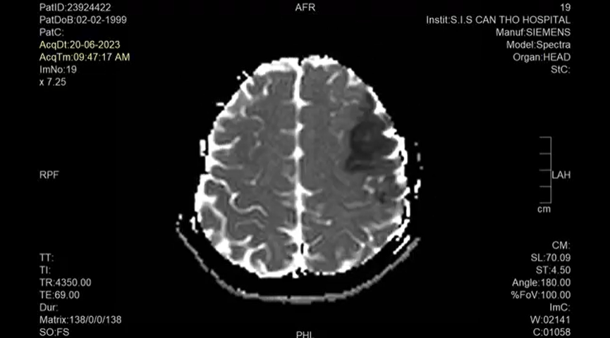
Theo TS.BS Trần Chí Cường, đây là trường hợp còn rất trẻ, nhập viện trong tình trạng yếu nửa người bên phải, triệu chứng điển hình là nói khó. Sau khi chẩn đoán hình ảnh cho thấy bệnh nhân có nhồi máu não thái dương trái thuộc vùng cấp máu của động mạch não giữa bên trái, có tổn thương trung tâm ngôn ngữ. Đó là lý do bệnh nhân này không thể nói được và mất khả năng ngôn ngữ (mất ngôn ngữ Broca). 

Hình ảnh MRI não của bệnh nhân (ảnh: BVCC)

Trong trường hợp này, bệnh nhân sẽ không thể trả lời hoặc diễn đạt bằng ngôn ngữ khi nghe lời nói từ những người xung quanh. Sau khi điều trị tại Bệnh viện Đa khoa Quốc tế S.I.S Cần Thơ khoảng 2 tuần, người bệnh đã bắt đầu hiểu và phát âm được một số từ và trả lời bác sĩ bằng chữ viết. Đây là dấu hiệu may mắn trong vấn đề phục hồi. 

Người thân bệnh nhân đã gửi lời cảm ơn chân thành đến đội ngũ bác sĩ tại Bệnh viện Đa khoa Quốc tế S.I.S Cần Thơ. Đồng thời, mong muốn bệnh viện sẽ có nhiều thông tin tuyên truyền về đột quỵ đến cộng đồng.

TS.BS Trần Chí Cường khuyến cáo, đột quỵ không loại trừ bất cứ một ai, kể cả khi chúng ta đang khỏe mạnh và không có yếu tố nguy cơ. Đối với ngành Y tế, rất nhiều bệnh nhân nhập viện mà không thể hiện rõ triệu chứng của đột quỵ. Trong tình huống này, không nên chủ quan mà chẩn đoán bệnh nhân hạ canxi hoặc không bị đột quỵ. Nên đánh giá, tầm soát và kiểm tra toàn diện, đặc biệt là các thăm khám lâm sàng, cận lâm sàng để kịp thời phát hiện một trường hợp đột quỵ sớm và điều trị thuốc tan máu đông tại địa phương. Đây là yếu tố quan trọng nhất trong giờ vàng để cứu chữa bệnh nhân

Vị chuyên gia chia sẻ thêm, nếu người bệnh được chẩn đoán điều trị sớm trong thời gian vàng, bệnh nhân sẽ phục hồi tốt hơn. Nếu tuân thủ tốt những điều trên, rất nhiều bệnh nhân đột quỵ sẽ được cứu chữa. 

Đặc biệt, nếu bệnh viện không có điều kiện cận lâm sàng để chẩn đoán mà nghĩ đến đột quỵ thì nhanh chóng cho bệnh nhân chuyển viện. Với khoảng cách 2 giờ đi xe, đặc biệt là người dân tại khu vực Bến Tre cũng như khu vực Tây Nam Bộ nói chung, nên đưa bệnh nhân đến Bệnh viện Đa khoa Quốc tế S.I.S Cần Thơ trong thời gian sớm nhất.

Ngoài ra, với những bệnh nhân trễ giờ vàng (ngoài 6 giờ), bệnh viện vẫn có phần mềm RAPID và các trang thiết bị hiện đại để điều trị tốt nhất cho bệnh nhân đột quỵ.

Minh Anh – benhdotquy.net

Nguồn: Bện viện Đa khoa Quốc tế S.I.S Cần Thơ

Video

Hẹp động mạch vành: Nguy hiểm thế nào và do đâu?

Hẹp động mạch vành: Nguy hiểm thế nào và do đâu?

Hẹp động mạch vành là tình trạng lòng mạch nuôi tim bị thu hẹp, làm giảm lượng máu và oxy đến cơ tim. Nếu không được phát hiện, kiểm soát và điều trị kịp thời, bệnh có thể tiến triển âm thầm nhưng dẫn đến nhiều biến cố nguy hiểm như nhồi máu cơ tim, suy tim, rối loạn nhịp tim, thậm chí đột tử. Vậy nguyên nhân nào gây hẹp động mạch vành và những yếu tố nguy cơ nào cần đặc biệt cảnh giác?

Chăm sóc đột quỵ

Dấu hiệu đột quỵ

Tầm soát đột quỵ