Bỏ điều trị tăng huyết áp, nam thanh niên ngã gục vì xuất huyết não
Ngày 30/3/2025, Bệnh viện Gia An 115 tiếp nhận một trường hợp nam thanh niên sinh năm 1987 cấp cứu trong tình trạng ngưng tim, ngưng thở. Dù được hồi sức tim phổi tích cực nhưng khi vừa lên đến phòng mổ bệnh nhân lại tiếp tục ngưng tim và được gia đình xin đưa về nhà.
BS.CK2 Nguyễn Thắng Nhật Tuệ – Trưởng khoa Cấp cứu, Bệnh viện Gia An 115 thông tin, nam bệnh nhân phát hiện bất tỉnh tại nhà, khi ở một mình. Cụ thể, ghi nhận từ camera, trước đó vào lúc 10h30 sáng, nam thanh niên vẫn đang làm việc bình thường thì đột ngột té ra sau và nằm bất động.
Vì ở nhà một mình nên đến 11h45 người nhà xem camera mới phát hiện và gọi cấp cứu trong tình trạng bệnh nhân đã ngưng tim, ngưng thở.

Hình ảnh trích xuất từ camera, bệnh nhân nằm bất động trên sàn nhà.
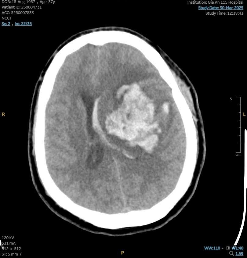
Sau khi cấp cứu hồi sinh tim phổi tích cực, tim bệnh nhân đập trở lại và được chuyển đến bệnh viện. Tại đây, kết quả CT scan cho thấy bệnh nhân bị xuất huyết não lan rộng gần hết bán cầu não trái, tràn vào não thất, gây phù não và đẩy lệch đường giữa, BS Nhật Tuệ cho biết.
Ngay sau đó, bệnh nhân được các bác sĩ hội chẩn và quyết định phẫu thuật khẩn cấp. Tuy nhiên, ngay khi vừa lên đến phòng mổ, bệnh nhân lại tiếp tục ngưng tim. Dù đã nỗ lực hồi sinh tim phổi một lần nữa nhưng gia đình quyết định xin đưa anh về nhà.


Hình ảnh CT scan của bệnh nhân cho thấy tình trạng phù não và đẩy lệch đường giữa (Ảnh: BVCC)
Khai thác tiền sử từ gia đình, được biết, nam bệnh nhân có tiền sử tăng huyết áp nhưng bỏ điều trị. Đây là một trong những yếu tố nguy cơ lớn nhất dẫn đến đột quỵ, đặc biệt là xuất huyết não.
- Từ khóa:
- #tănghuyếtáp
- #xuấthuyếtnão
Kết quả chụp mạch máu “có hiệu lực” trong bao lâu?
Kết quả chụp mạch máu là căn cứ quan trọng giúp bác sĩ chẩn đoán và theo dõi bệnh lý tim mạch, đột quỵ. Tuy nhiên, nhiều người vẫn băn khoăn liệu những hình ảnh này có thể sử dụng trong bao lâu trước khi cần chụp lại. Thực tế, “giá trị” của kết quả không phải lúc nào cũng cố định, mà phụ thuộc vào diễn tiến bệnh và tình trạng sức khỏe của từng người.
Multimedia
Theo dõi trên:Video
Kết quả chụp mạch máu “có hiệu lực” trong bao lâu?
Kết quả chụp mạch máu là căn cứ quan trọng giúp bác sĩ chẩn đoán và theo dõi bệnh lý tim mạch, đột quỵ. Tuy nhiên, nhiều người vẫn băn khoăn liệu những hình ảnh này có thể sử dụng trong bao lâu trước khi cần chụp lại. Thực tế, “giá trị” của kết quả không phải lúc nào cũng cố định, mà phụ thuộc vào diễn tiến bệnh và tình trạng sức khỏe của từng người.
Sống sót sau đột quỵ, làm gì để không bị lần 2?
Giới trẻ và đột quỵ: Khi lối sống hiện đại trở thành sát thủ âm thầm
Giải mã mối quan hệ nguy hiểm giữa đái tháo đường và đột quỵ
Phòng Tránh Đột Quỵ – Bắt Đầu Từ 5 Bài Tập Đơn Giản
Ngăn đột quỵ ngay từ phút đầu – Những điều nên biết
7 tình huống khiến đường huyết tăng vọt có thể bạn chưa biết














">
">
"> 
