Cứu sống bé gái 13 tuổi hôn mê do vỡ mạch máu não trên nền bệnh tim hiếm gặp

Một bé gái 13 tuổi hôn mê sâu do vỡ dị dạng mạch máu não, lại mang trong mình căn bệnh tim hiếm gặp – “cơ tim xốp” đã được cứu sống ngoạn mục nhờ sự phối hợp khẩn trương, chính xác giữa các chuyên khoa tại Bệnh viện Nhi Đồng 1.

06-11-2025 10:23
Theo dõi trên |

Ngày 5/10/2025, khoa Cấp cứu Bệnh viện Nhi Đồng 1 tiếp nhận bệnh nhi 13 tuổi, ngụ TPHCM, được chuyển từ Bệnh viện Hóc Môn trong tình trạng hôn mê sâu, nghi xuất huyết não và sốc tim. Theo người nhà, buổi sáng cùng ngày, bé đang ngủ thì đột ngột thở ngược, mất ý thức, được đưa vào bệnh viện địa phương cấp cứu, đặt nội khí quản, dùng thuốc vận mạch rồi nhanh chóng chuyển lên tuyến trên.

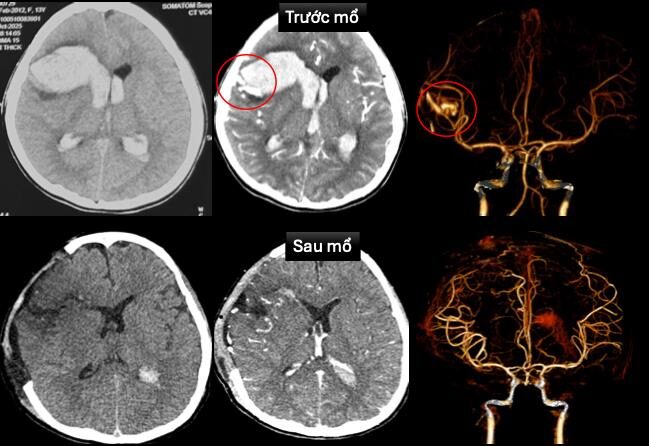
Tại Bệnh viện Nhi Đồng 1, bệnh nhi được ghi nhận hôn mê sâu, thở máy, mạch chậm, huyết áp tụt, đang duy trì thuốc vận mạch. Ekip lập tức siêu âm tim và chụp cắt lớp vi tính não cấp cứu, dựng hình mạch máu để xác định nguyên nhân. Kết quả cho thấy bé bị vỡ dị dạng động – tĩnh mạch trán phải, gây xuất huyết nhu mô não lan vào hệ thống não thất, kèm sốc tim, rối loạn nhịp và bệnh cơ tim xốp – một bệnh lý cực hiếm, đặc trưng bởi cấu trúc cơ tim có nhiều hốc sâu bất thường.

Hình ảnh chụp cắt lớp vi tính sọ não và dựng hình mạch máu não trước và sau mổ

Trước tình huống “ngàn cân treo sợi tóc”, bệnh viện đã kích hoạt hội chẩn đa chuyên khoa. Các bác sĩ tim mạch can thiệp đặt máy tạo nhịp tạm thời để duy trì nhịp tim, trong khi ekip ngoại thần kinh khẩn trương mở sọ giải áp, vi phẫu cắt bỏ dị dạng mạch máu và lấy máu tụ trong não. Sau phẫu thuật, bệnh nhi được chuyển đến khoa Hồi sức Ngoại để tiếp tục điều trị tích cực bằng thở máy, thuốc vận mạch và chống phù não.

May mắn, sau nhiều ngày theo dõi sát sao, tình trạng bệnh nhi cải thiện rõ rệt: tim mạch ổn định, rút được máy tạo nhịp, ngưng thuốc vận mạch; hiện bé đã tỉnh, có thể giao tiếp, chỉ còn yếu nhẹ chân phải. Hình ảnh chụp cắt lớp vi tính sau mổ không còn ghi nhận dị dạng mạch máu não, chức năng tim được cải thiện đáng kể với chỉ số EF tăng lên 65%.

Theo các bác sĩ, dị dạng động – tĩnh mạch não ở trẻ em chỉ chiếm khoảng 0,01% dân số, nhưng lại là nguyên nhân hàng đầu của xuất huyết não tự phát ở trẻ dưới 19 tuổi, chiếm đến 70% các ca. Trong khi đó, bệnh cơ tim xốp cũng hiếm gặp, có thể dẫn đến rối loạn nhịp hoặc đột tử nếu không được phát hiện sớm. Việc hai bệnh lý hiếm gặp cùng tồn tại trên một bệnh nhi là tình huống rất hy hữu trong y văn, đòi hỏi phản ứng nhanh, chính xác và sự phối hợp chặt chẽ giữa nhiều chuyên khoa.

Trường hợp này là lời cảnh tỉnh cộng đồng về tầm quan trọng của việc nhận biết sớm dấu hiệu bất thường ở trẻ, đặc biệt khi xuất hiện các triệu chứng như đau đầu dữ dội, nôn ói, yếu liệt tay chân hoặc ngất đột ngột những tín hiệu có thể cứu sống trẻ nếu được xử trí kịp thời.

Rối loạn nhịp tim âm thầm – “kẻ giấu mặt” có thể gây đột tử bất ngờ

Rối loạn nhịp tim âm thầm – “kẻ giấu mặt” có thể gây đột tử bất ngờ

Rối loạn nhịp tim là tình trạng tim đập quá nhanh, quá chậm hoặc không đều so với nhịp sinh lý bình thường. Điều đáng lo ngại là nhiều trường hợp diễn tiến âm thầm, không có triệu chứng rõ ràng nhưng lại tiềm ẩn nguy cơ đột tử cao nếu không được phát hiện và điều trị kịp thời.

Video

Hướng dẫn kỹ năng “Ép tim – thổi ngạt” để cứu người

Hướng dẫn kỹ năng “Ép tim – thổi ngạt” để cứu người

Thời gian gần đây, các ca ngưng tim, ngưng thở xảy ra nhiều hơn, trong đó không ít trường hợp diễn ra ngay tại nhà hoặc nơi công cộng trước khi kịp tiếp cận y tế. Ít ai biết rằng vài phút đầu tiên chính là “thời gian vàng” quyết định sự sống còn. Video dưới đây hướng dẫn quy trình ép tim, thổi ngạt theo chuẩn lâm sàng, giúp mỗi người biết cách xử trí đúng khi khẩn cấp xảy ra, bảo vệ chính mình và hỗ trợ người xung quanh.

Chăm sóc đột quỵ

Dấu hiệu đột quỵ

Tầm soát đột quỵ