Bé trai 14 tuổi đột quỵ xuất huyết não do chủ quan với các triệu chứng thường gặp
Bé trai 14 tuổi thường xuyên đau đầu âm ỉ kèm triệu chứng đau bụng, nôn ói, chủ quan do tưởng cảm cúm thông thường nhưng khi đưa đến bệnh viện bác sĩ chẩn đoán đột quỵ xuất huyết não hiếm gặp.
Ngày 23/9/2024, Bệnh viện Đa khoa Quốc tế S.I.S Cần Thơ cho biết, đã tiếp nhận và điều trị thành công cho một trường hợp hiếm gặp trên lâm sàng khi bé trai 14 tuổi, bị đột quỵ xuất huyết não do tắc tĩnh mạch não Galen.
Bệnh nhi là em L.N.T., 14 tuổi, ngụ huyện Vị Thủy, tỉnh Hậu Giang. Theo lời kể từ gia đình, trước đây em T. thường xuyên đau đầu âm ỉ, đau một lúc rồi hết. Nhưng gần đây, em bị đau đầu nhiều hơn kèm triệu chứng đau bụng, nôn ói. Nghĩ là cảm cúm thông thường nên ba mẹ đã đưa em T. đến trạm xá gần nhà khám lấy thuốc uống.
Đến ngày thứ 3, tình trạng em T. trở nặng, bắt đầu rơi vào hôn mê. Người nhà lập tức chuyển em đến cấp cứu tại Bệnh viện Nhi đồng TP Cần Thơ.
Tại đây, dựa trên các triệu chứng này, các bác sĩ nghi ngờ em T. bị đột quỵ nên đã liên hệ, kết hợp hội chẩn với bác sĩ chuyên khoa Thần kinh và Can thiệp nội mạch của Bệnh viện Đa khoa Quốc tế S.I.S Cần Thơ.
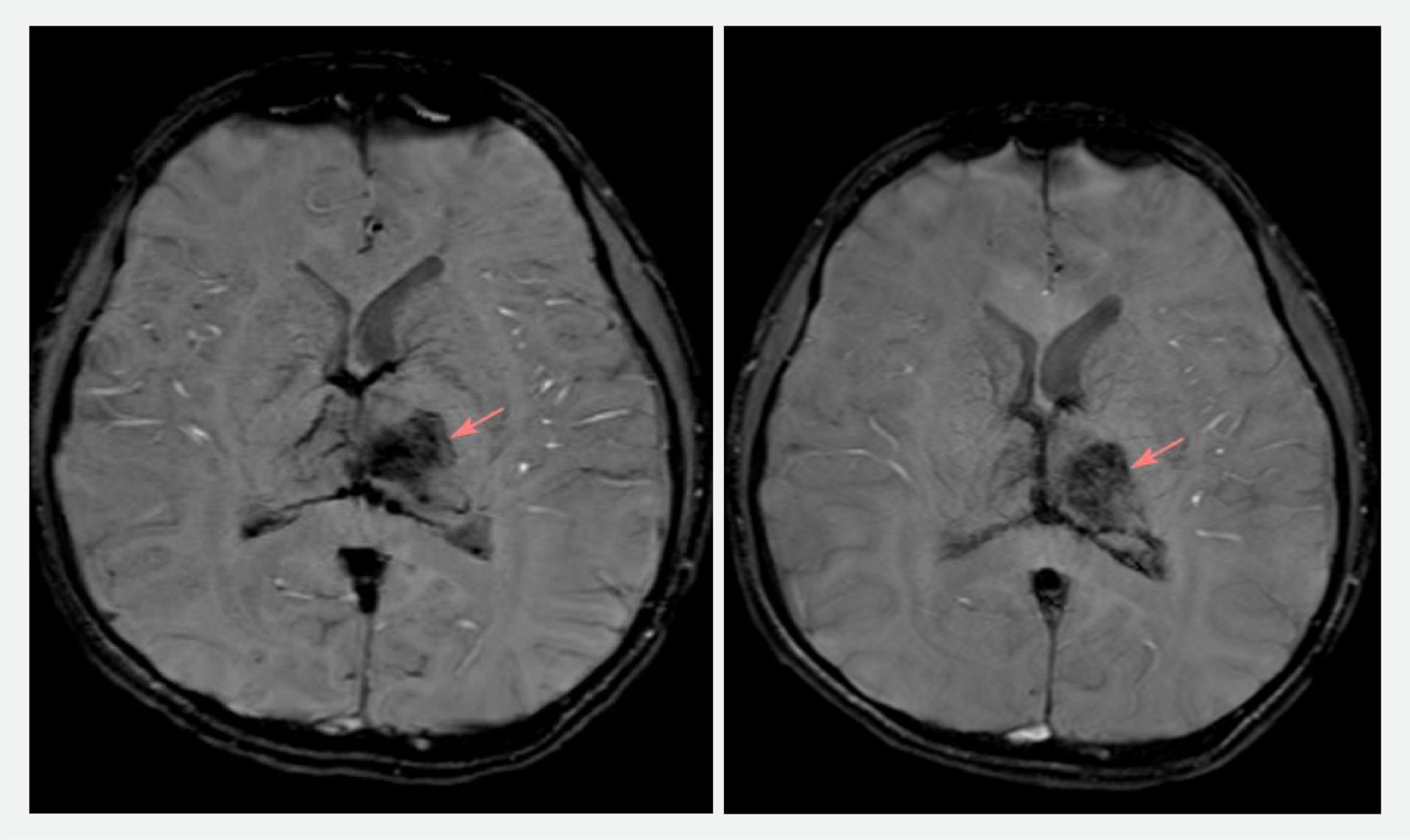
Bệnh nhi được nhân viên y tế và người nhà đưa đến Bệnh viện Đa khoa Quốc tế S.I.S Cần Thơ để tiến hành chụp MRI não. Kết quả ghi nhận tình trạng xuất huyết não, phù não vùng đồi thị.
Các bác sĩ của 2 bệnh viện cùng hội chẩn, đưa ra chẩn đoán xác định là đột quỵ xuất huyết não do tắc tĩnh mạch Galen. Sau đó, em T. được hướng dẫn nhập viện can thiệp điều trị cấp cứu tại Bệnh viện Đa khoa Quốc tế S.I.S Cần Thơ.
Hình ảnh chụp MRI não của bệnh nhi trước và sau khi can thiệp 1 ngày (ẢNh: BVCC)
ThS.BS Lê Minh Thắng – Đơn vị Can thiệp mạch DSA, Bệnh viện Đa khoa Quốc tế S.I.S Cần Thơ – bác sĩ can thiệp trực tiếp cho biết: “Trường hợp của em T. khá hiếm gặp trên thực tế. Dựa trên kết quả chụp MRI ghi nhận tình trạng xuất huyết não kết hợp với phù vùng đồi thị. Các bác sĩ đã tiến hành can thiệp lấy ra rất nhiều cục máu đông trong tĩnh mạch Galen và xoang thẳng, khai thông được tĩnh mạch bị tắc nghẽn”.
Sau can thiệp, bệnh nhi được hồi sức tích cực, duy trì kháng đông đường uống dự phòng máu đông. Sau thời gian điều trị, tri giác và sức cơ của em T. đã cải thiện có thể đi lại, hết đau đầu…
Chị Trúc – mẹ của em L.N.T. chia sẻ: “Lúc bác sĩ báo tình trạng của con nguy kịch, tay chân tôi rụng rời, chỉ đặt hết hy vọng nhờ bác sĩ cứu con. Các bác sĩ can thiệp xong cho con là lúc nửa đêm. Bác sĩ kêu vô báo tin đã lấy được cục máu đông thành công, cứu được con, tôi mừng rớt nước mắt. Đến nay, con đã tỉnh táo, tay chân vận động tốt, không còn mê mang như lúc nhập viện”.
Bệnh nhi trước và sau can thiệp 10 ngày (Ảnh: BVCC)
Theo ThS.BS Lê Minh Thắng, trường hợp của em L.N.T. nếu được khám tầm soát phát hiện sớm sẽ có cách điều trị dự phòng tốt hơn và tránh trường hợp nặng xảy.
May mắn gia đình đã đưa bé đến bệnh viện kịp thời, nhanh chóng xác định được nguyên nhân gây đột quỵ. Do đó, quá trình hồi phục sau đột quỵ của em khá tốt.
ThS.BS Lê Minh Thắng khuyến cáo, vì sức khỏe và tương lai của con em, phụ huynh hết sức lưu ý khi phát hiện các em có triệu chứng đau đầu âm ỉ kéo dài, co giật, yếu nửa người, nôn ói, lơ mơ… cần phải đưa đến bệnh viện chuyên khoa để bác sĩ chẩn đoán và điều trị kịp thời.
Trường hợp gia đình chần chừ đưa các em đến trễ thời gian vàng sẽ bỏ lỡ cơ hội điều trị tốt nhất, ảnh hưởng đến quá trình hồi phục và phát triển toàn diện của em sau này.
Tại Bệnh viện Đa khoa Quốc tế S.I.S Cần Thơ, Quỹ từ thiện bệnh nhân nghèo đột quỵ Khu vực ĐBSCL đã phối hợp với Hội Chữa lành trái tim hỗ trợ các trường hợp trẻ em không may mắc các bệnh lý hiểm nghèo về tim mạch và não. Tùy theo mức độ khó khăn của từng ca bệnh mà mức hỗ trợ chi phí điều trị có thể lên đến 100%. Đối với trường hợp của em L.N.T., Quỹ từ thiện bệnh nhân nghèo đột quỵ Khu vực ĐBSCL và Hội Chữa lành trái tim đã hỗ trợ cho gia đình 30 triệu đồng để giúp trang trải chi phí điều trị.
TS.BS Trần Chí Cường – Giám đốc Bệnh viện Đa khoa Quốc tế S.I.S Cần Thơ chia sẻ: “Chúng tôi có một lời cam kết là sẽ làm gì tốt nhất có thể để cứu chữa bệnh nhân, bất kể họ là ai và có tiền hay không. Miễn là có thể cứu họ chúng tôi sẽ làm ngay! Chữ “quốc tế” của S.I.S tượng trưng cho chất lượng tương đương với thế giới nhưng giá cả thì thực sự quá bình dân và có khi là 0 đồng cùng với lời cám ơn cũng đã đủ”. |
- Từ khóa:
Trao hỗ trợ 30 triệu đồng cho cho bé L.N.T. (Ảnh: BVCC)


















">
">
"> 
