TPHCM: Cụ ông 92 tuổi đột quỵ và nhiễm Covid-19 cùng lúc

Các bác sĩ Bệnh viện Đa khoa Tâm Anh mới đây đã cấp cứu thành công cho một bệnh nhân 92 tuổi (Đồng Nai), nhập viện trong tình trạng yếu mệt, khó thở, sốt cao do nhiễm Covid-19, đột quỵ và mắc nhiều bệnh nền.

22-06-2023 09:23
Theo dõi trên |

Theo gia đình bệnh nhân, phát hiện ông nhiễm Covid-19 trước khi nhập viện 5 ngày. Ông được gia đình theo dõi, điều trị tại nhà nhưng bệnh trở nặng, khó thở, đi đứng khó, nói đớ, ăn uống hay bị sặc kèm sốt cao.

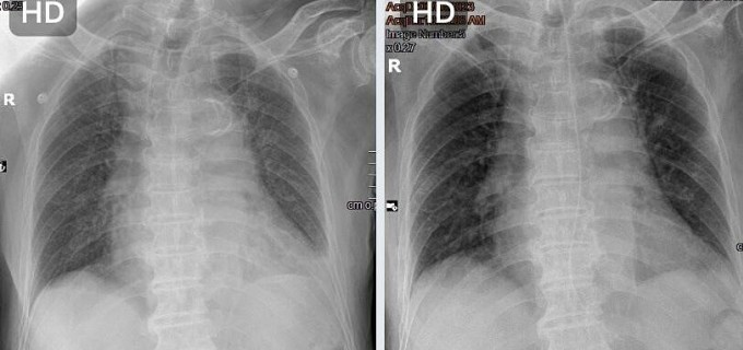
Theo kết quả chụp X-quang phổi vào ngày 8/6, phổi mờ trắng do nhiễm Covid-19. Hình ảnh MRI 3 Tesla ghi nhận bệnh nhân bị đột quỵ não nhẹ nhưng đã qua giờ “vàng”, mạch máu yếu và xơ vữa. Người bệnh còn có nhiều bệnh nền nguy hiểm như rung nhĩ, suy tim, tăng huyết áp, tiểu đường type 2.

Bác sĩ thăm khám cho bệnh nhân (Nguồn: Bệnh viện Đa khoa Tâm Anh)

Theo BS.CK1 Võ Phạm Thùy Linh (Khoa Nội Thần kinh, Trung tâm Thần kinh, Bệnh viện Đa khoa Tâm Anh TPHCM), quá trình điều trị cho bệnh nhân gặp rất nhiều khó khăn. Bệnh nhân có nguy cơ diễn tiến nặng hơn về hô hấp và tái phát đột quỵ do kết hợp giữa Covid-19, xơ vữa mạch máu, rung nhĩ và nguy cơ tăng đông máu. Người bệnh được dùng thuốc đặc trị nhằm tránh cục máu đông và thực hiện xét nghiệm các yếu tố nguy cơ gây đột quỵ trước đó để phòng ngừa.

Các bác sĩ tiếp tục hội chẩn liên chuyên khoa để điều trị dinh dưỡng cho bệnh nhân ổn định thể trạng, kết hợp điều trị nội khoa Covid-19 và các bệnh nền đi kèm. Theo BS.CK2 Ngô Trần Quang Minh (khoa Nội Tổng hợp), tuy đã được điều trị đột quỵ tích cực nhưng người bệnh vẫn còn giảm oxy máu, ho đờm, khó khạc, mệt lả người. Người bệnh có lúc bứt rứt, mất ngủ nhưng có lúc lại ngủ li bì, rối loạn điện giải, không hợp tác, phản xạ ho kém, rối loạn tri giác… Nhịp tim nhanh kèm loạn nhịp do viêm phổi Covid và bệnh thiếu máu cơ tim cục bộ.

Hình ảnh X-quang phổi trắng mờ do nhiễm Covid (trái) và sau điều trị phổi đã rõ ràng hơn (phải) (Nguồn: Bệnh viện Đa khoa Tâm Anh)

Mỗi ngày các bác sĩ thăm khám nhiều lần, có chế độ dinh dưỡng phù hợp, ổn định chỉ số huyết áp, đường huyết… Người bệnh được bổ sung thêm thuốc an thần và theo dõi sát sao. Bệnh nhân ổn định từ từ, phổi hồi phục dần, ngưng thuốc điều trị tâm thần kinh, tỉnh táo và phản xạ nuốt tốt hơn.

Sau gần 2 tuần điều trị, sức khỏe của bệnh nhân ổn định và tiếp tục điều trị hồi sức để sớm xuất viện.

Tổng hợp – benhdotquy.net

7 thức uống giúp giải nhiệt, ngủ ngon hơn trong mùa nắng nóng

7 thức uống giúp giải nhiệt, ngủ ngon hơn trong mùa nắng nóng

Nắng nóng kéo dài không chỉ khiến cơ thể mệt mỏi, mất nước mà còn ảnh hưởng rõ rệt đến chất lượng giấc ngủ. Nhiều người than phiền tình trạng khó ngủ, ngủ chập chờn, thức giấc giữa đêm do cảm giác oi bức, nóng trong người hoặc đổ mồ hôi nhiều.

Theo các chuyên gia dinh dưỡng, lựa chọn đúng thức uống trong mùa hè có thể hỗ trợ điều hòa thân nhiệt, bù nước và giúp cơ thể thư giãn tốt hơn trước khi ngủ. Tuy nhiên, không phải loại nước nào “mát” cũng phù hợp để dùng vào buổi tối.

Chăm sóc đột quỵ

Dấu hiệu đột quỵ

Tầm soát đột quỵ