Vì sao tiêm chất làm đầy có thể gây tai biến mù mắt, đột quỵ?
PGS.TS.BS Nguyễn Huy Thắng – Chủ tịch Hội đột quỵ TPHCM giải đáp về trường hợp một cô gái bị mù mắt sau khi được tiêm chất làm đầy.
Theo PGS.TS.BS Nguyễn Huy Thắng – Chủ tịch Hội đột quỵ TPHCM, ông vừa nhận được cuộc gọi của một đồng nghiệp, hỏi ý kiến về một cô gái bị mù mắt sau khi được tiêm chất làm đầy.
Dù đã có nhiều cảnh báo trên các phương tiện truyền thông, tuy vậy, rất đáng tiếc khi vẫn còn khá nhiều cô gái trẻ trở thành nạn nhân của việc làm đẹp.

PGS.TS.BS Nguyễn Huy Thắng giải thích: Tiêm chất làm đầy làm căng da mặt (Dermal filler injection) là kỹ thuật thường được sử dụng trong thẩm mỹ để xóa các nếp nhăn. Tuy nhiên, gần đây khá nhiều các biến chứng nguy hiểm (đột quỵ, mù mắt) liên quan đến kỹ thuật này được báo cáo, ước tính đã có gần 100 trường hợp trên toàn cầu. Tại BVND 115, chúng tôi đã gặp ít nhất 3 trường hợp tương tự.

Nguyên nhân là, không ai có thể chắc chắn việc chất làm đầy không bị tiêm thẳng vào các mạch máu. Khi lọt vào lòng mạch máu, chất làm đầy có thể gây thuyên tắc động mạch võng mạc (có thể gây mù mắt vĩnh viễn) hoặc thuyên tắc động mạch não (gây nhồi máu não).

Gần đây, tổ chức quản lý dược và thực phẩm Hoa Kỳ (FDA) đã cảnh báo về các biến chứng này, và chỉ chấp thuận cho chỉ định tiêm các chất làm đầy đối với các trường hợp xóa nhăn phần mặt dưới (vùng quanh môi).
Trong số các loại chất làm đầy, khoảng 80% các trường hợp được sử dụng là acid hyaluronic, là một phân tử đường lớn có khả năng giữ một lượng nước khá lớn.
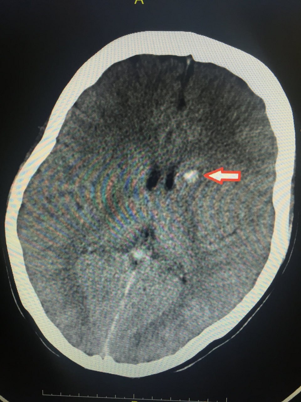
PGS Huy Thắng nhắc lại trường hợp đầu tiên vào năm 2016, một bệnh nhân nữ, còn rất trẻ (sinh năm 1994) nhập viện BV Nhân dân 115 vì yếu tay chân Phải và mù mắt Trái, ngay sau khi bị tiêm thẳng chất làm đầy vào vùng cạnh mũi.
Khi khảo sát MRI não, cho thấy hình ảnh khá ấn tượng với một chuỗi rất nhiều emboli gây tắc nhiều mạch máu nhỏ tại vùng giáp ranh bán cầu Trái. Sau đó gây chuyển dạng xuất huyết não.
Kích thước phân tử của acid hyaluronic khoảng 400µm, do vậy có thể dễ dàng làm tắc nghẽn động mạch võng mạc có đường kính nhỏ hơn (160µm), mà ít khi ảnh hưởng đến động mạch mắt có đường kính to hơn rõ rệt (2mm).
Một số các phân tử có kích thước nhỏ hơn sẽ tiếp tục di chuyển về động mạch mắt (nhưng không gây thuyên tắc động mạch mắt, do các phân tử này có kích thước nhỏ hơn) qua động mạch cảnh trong bên trái vào gây thuyên tắc tại các động mạch vùng vỏ não tận cùng.

Sau khi gây thuyên tắc, các phân tử acid hyaluronic có thể gây viêm mạch máu tại chỗ và gây xuất huyết não thứ phát sau đó.
Rất tiếc cho đến nay vẫn chưa có điều trị đặc hiệu cho tai nạn này. Dù bệnh nhân đến sớm, liệu pháp tiêu huyết khối bằng thuốc tiêu sợi huyết có lẽ không có lợi ích vì không phù hợp cơ chế và có thể làm tăng nguy cơ xuất huyết. Chỉ có thể đưa dịch vào cơ thể với hy vọng có thể rửa trôi các emboli.
benhdotquy.net
- Từ khóa:
Vì sao hút thuốc lá làm tăng nguy cơ nhồi máu cơ tim? Cảnh báo từ hai ca bệnh nguy kịch
Trong hai ngày liên tiếp, Bệnh viện Đa khoa Thủ Đức (TPHCM) đã tiếp nhận hai trường hợp nhồi máu cơ tim cấp trong tình trạng nguy kịch. Điểm đáng chú ý là cả hai bệnh nhân đều có chung một yếu tố nguy cơ: hút thuốc lá lâu năm – thói quen tưởng chừng quen thuộc nhưng tiềm ẩn hậu quả nghiêm trọng đối với hệ tim mạch.
Multimedia
Theo dõi trên:Video
Mắc hội chứng chuyển hóa, nguy cơ đột quỵ và đột tử tăng cao
Mắc hội chứng chuyển hóa có thể khiến nguy cơ mắc các biến cố tim mạch nguy hiểm như đột quỵ hay đột tử tăng lên đáng kể. Các chuyên gia cảnh báo tình trạng này tuy tiến triển âm thầm nhưng lại là nền tảng thúc đẩy xơ vữa động mạch, làm gia tăng nguy cơ nhồi máu cơ tim và đột quỵ nếu không được phát hiện và kiểm soát sớm.
Sống sót sau đột quỵ, làm gì để không bị lần 2?
Giới trẻ và đột quỵ: Khi lối sống hiện đại trở thành sát thủ âm thầm
Giải mã mối quan hệ nguy hiểm giữa đái tháo đường và đột quỵ
Phòng Tránh Đột Quỵ – Bắt Đầu Từ 5 Bài Tập Đơn Giản
Ngăn đột quỵ ngay từ phút đầu – Những điều nên biết
7 tình huống khiến đường huyết tăng vọt có thể bạn chưa biết















">
">
"> 
