Phú Thọ: Người đàn ông 57 tuổi xuất hiện hoang tưởng, ảo giác do mắc viêm não tự miễn hiếm gặp
Bệnh viện Đa khoa tỉnh Phú Thọ vừa tiếp nhận một trường hợp bệnh nhân nam 57 tuổi, vào viện trong tình trạng co giật toàn thân, rối loạn tâm thần, kích động, hoang tưởng, ảo giác, mất nhận thức người thân.
Được biết, trước khi vào viện 7 tháng bệnh nhân xuất hiện triệu chứng yếu tay, chân trái kèm theo biểu hiện loạn thần nhẹ. Ngay sau đó nam bệnh nhân được đưa vào bệnh viện huyện, được chụp CT sọ não và chẩn đoán, điều trị theo hướng nhồi máu não. Sau điều trị 7 ngày, sức cơ cải thiện nhanh chóng, tình trạng lâm sàng bệnh nhân có cải thiện rõ rệt và đã được cho xuất viện.
Tuy nhiên, sau đó bệnh nhân xuất hiện cơn co giật, sau cơn có trạng thái kích động, vì vậy được chuyển đến Trung tâm Đột quỵ, Bệnh viện Đa khoa tỉnh Phú Thọ trong tình trạng ý thức rối loạn tâm thần, kích động, hoang tưởng, ảo giác, mất nhận thức người thân. Bệnh nhân bị co giật toàn thân, co giật liên tục, không liệt mặt, không rối loạn nuốt, không rối loạn cơ tròn.
Bệnh nhân được khảo sát cộng hưởng từ sọ não, xét nghiệm dịch não tủy và các xét nghiệm cơ bản sàng lọc độc chất, bệnh chuyển hóa.

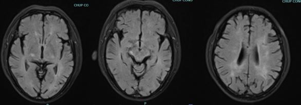
Hình CHT sọ não xung Flair.
Kết quả cộng hưởng từ sọ cho thấy tổn thương tăng tín hiệu trên xung khuyết tán tổn thương chủ yếu vùng vỏ não thùy chẩm, đỉnh 2 bên; trên xung flair tổn thương tăng tín hiệu vùng cuống não phải, dưới đồi phải, tổn thương chất trắng cạnh não thất 2 bên.
Với tình trạng lâm sàng rối loạn tâm thần 3 ngày, co giật liên tục nhiều cơn trong 3 ngày đầu kèm theo những bất thường về hình ảnh học và xét nghiệm dịch não tủy ban đầu, các bác sĩ hội chẩn đã đưa ra hướng chẩn đoán theo dõi viêm não căn nguyên chưa xác định. Bệnh nhân được điều trị triệu chứng: thuốc cắt cơn giật, dinh dưỡng bảo vệ tế bào thần kinh, thuốc chống loạn thần.
Sau 5 ngày điều trị lâm sàng, bệnh nhân có cải thiện hơn hết loạn thần, còn rối loan trí nhớ, trả lời còn lẫn lộn thiếu chính xác, cơn co giật được kiểm soát. Nam bệnh nhân được chỉ định chụp lại cộng hưởng từ sọ não đánh giá tổn thương và xét nghiệm dịch não tủy lần 2, kết quả tổn thương trên flair không thay đổi, nhưng tổn thương mới trên DWI hiện rõ ràng hơn; protein dịch não tủy 0,84 g/l; tế bào: 3 tế bào.
Với bệnh sử từ trước kết hợp với lâm sàng khởi phát bởi co giật và rối loạn tâm thần và bất thường trong dịch não tủy, các bác sĩ đã hội chẩn và nghĩ nhiều đến viêm não tự miễn và chỉ định xét nghiệm một số xét nghiệm viêm não tự miễn (làm tại Bệnh viện Nhi Trung ương). Kết quả mẫu huyết thanh của bệnh nhân dương tính với kháng thể kháng LGI1 (Leucine-rich glioma-inactivated 1). Kháng thể LG1 là một trong 6 loại tự kháng thể phổ biến trong bệnh viêm não tự miễn đang được xét nghiệm chẩn đoán tại Việt Nam.
Bệnh nhân được chẩn đoán xác định và điều trị theo hướng viêm não tự miễn với phác đồ cơ bản là Corticoid liều cao, thuốc bảo vệ dinh dưỡng thần kinh, thuốc chống cơn giật… Sau đó, tình trạng lâm sàng của bệnh nhân cải thiện nhanh chóng.
Sau 2 tuần điều trị, tình trạng bệnh nhân cải thiện tốt, tỉnh hoàn toàn, không loạn thần, không co giật, không yếu chi và được cho ra viện. Các lần tái khám sau 15 ngày, sau 1,5 tháng, sau 3 tháng, bệnh nhân ổn định, không có triệu chứng tái phát.
Theo các bác sĩ bệnh Viêm não tự miễn là dạng viêm não xảy ra khi hệ thống miễn dịch của cơ thể tấn công các tế bào khỏ mạnh ở não bộ. Là nguyên nhân đứng thứ 3 trong những nguyên nhân gây viêm não.
Benhdotquy.net
- Từ khóa:
Lần đầu triển khai kỹ thuật khoan cắt mảng xơ vữa bằng laser tại Việt Nam
Lần đầu các bác sĩ tại Việt Nam triển khai kỹ thuật khoan cắt mảng xơ vữa bằng laser trong điều trị hẹp tắc động mạch chi dưới, mở ra hướng đi mới cho bệnh nhân cao tuổi mắc nhiều bệnh nền.
Multimedia
Theo dõi trên:Video
Mắc hội chứng chuyển hóa, nguy cơ đột quỵ và đột tử tăng cao
Mắc hội chứng chuyển hóa có thể khiến nguy cơ mắc các biến cố tim mạch nguy hiểm như đột quỵ hay đột tử tăng lên đáng kể. Các chuyên gia cảnh báo tình trạng này tuy tiến triển âm thầm nhưng lại là nền tảng thúc đẩy xơ vữa động mạch, làm gia tăng nguy cơ nhồi máu cơ tim và đột quỵ nếu không được phát hiện và kiểm soát sớm.
Sống sót sau đột quỵ, làm gì để không bị lần 2?
Giới trẻ và đột quỵ: Khi lối sống hiện đại trở thành sát thủ âm thầm
Giải mã mối quan hệ nguy hiểm giữa đái tháo đường và đột quỵ
Phòng Tránh Đột Quỵ – Bắt Đầu Từ 5 Bài Tập Đơn Giản
Ngăn đột quỵ ngay từ phút đầu – Những điều nên biết
7 tình huống khiến đường huyết tăng vọt có thể bạn chưa biết















">
">
"> 
