Hội chứng co mạch não đảo ngược: triệu chứng và cách điều trị
Đặc điểm của hội chứng co mạch não đảo ngược chính là những cơn đau đầu dữ dội, đột ngột. Hội chứng này phổ biến nhất ở phụ nữ trong độ tuổi từ 20 – 50.
Mục lục
1. Hội chứng co mạch não đảo ngược là gì?
Hội chứng co mạch máu não đảo ngược (RCVS) là một tình trạng hiếm gặp xảy ra do sự co thắt đột ngột của các mạch cung cấp máu cho não. Triệu chứng chính của RCVS là đau đầu đột ngột, dữ dội, đôi khi được gọi là đau đầu “sấm sét”. Trong một số trường hợp, bệnh nhân có hội chứng co mạch não có hồi phục sẽ bị đột quỵ hoặc chảy máu não.
Hầu hết bệnh nhân RCVS hồi phục hoàn toàn. Một số ít bệnh nhân có vấn đề về thần kinh.
Hội chứng co mạch máu não đảo ngược là một tình trạng hiếm gặp xảy ra do sự co thắt đột ngột của các mạch cung cấp máu cho não.
2. Hội chứng co mạch não đảo ngược thường bị nhầm lẫn với bệnh lý gì?
Viêm mạch hệ thần kinh trung ương có thể bị nhầm lẫn với RCVS. Viêm mạch máu thần kinh trung ương là một tình trạng dẫn đến viêm các thành mạch máu của não hoặc cột sống. Viêm mạch thần kinh trung ương thường xảy ra trong các trường hợp sau:
- Xuất hiện cùng với các bệnh tự miễn khác như lupus ban đỏ hệ thống, viêm da cơ và viêm khớp dạng thấp (trong một số trường hợp hiếm gặp).
- Có thể đi kèm với nhiễm trùng do vi rút hoặc vi khuẩn.
- Có thể đi kèm với rối loạn mạch toàn thân (ảnh hưởng đến toàn bộ cơ thể) (u hạt với viêm đa tuyến, viêm đa ống vi thể, hội chứng Behçet).
- Có thể tự xuất hiện; trong những trường hợp này, nó được gọi là viêm mạch thần kinh trung ương nguyên phát.
Các bác sĩ cần phải biết về hội chứng co mạch não đảo ngược và phân biệt được hiện tượng này với viêm mạch thần kinh trung ương càng sớm càng tốt. Hai rối loạn này khác nhau về cách điều trị và triển vọng phục hồi. Điều trị RCVS không cần dùng thuốc ức chế miễn dịch, nhưng viêm mạch thần kinh trung ương thì có.
Viêm mạch hệ thần kinh trung ương có thể bị nhầm lẫn với RCVS.
»»» Xem thêm: Rối loạn não: phân loại và các triệu chứng nhận diện
3. Nguyên nhân gây ra hội chứng co mạch não đảo ngược là gì?
Rối loạn kiểm soát trương lực cơ trơn bên trong thành mạch máu não được cho là nguyên nhân gây ra RCVS. Không có bằng chứng về tình trạng viêm hoặc thay đổi cấu trúc của mạch máu não hoặc mô ở những người bị RCVS.
Một số yếu tố bên ngoài chẳng hạn như sử dụng thuốc theo toa, không kê đơn hoặc thuốc bất hợp pháp có thể gây co thắt động mạch. RCVS cũng có thể liên quan đến các yếu tố bên trong như khối u, nơi tiết ra các chất làm co mạch máu.
Thuốc kê đơn liên quan đến RCVS bao gồm:
- Thuốc chống trầm cảm: Thuốc ức chế tái hấp thu serotonin có chọn lọc (SSRI).
- Thuốc điều trị chứng đau nửa đầu: triptans, isometheptene và ergotamines
- Thuốc ức chế miễn dịch: cyclophosphamide và tacrolimus
- Thuốc ngăn ngừa chảy máu sau khi sinh con
- Thuốc chống Parkinson: bromocriptine và lisuride.
Rối loạn kiểm soát trương lực cơ trơn bên trong thành mạch máu não được cho là nguyên nhân gây ra RCVS.
Các loại thuốc và chất bổ sung không kê đơn phổ biến có thể gây co thắt động mạch não bao gồm:
- Thuốc thông mũi
- Những miếng dán Nicotine
- Nước tăng lực chứa caffein
- Nhân sâm
Các loại thuốc bất hợp pháp liên quan đến RCVS là:
- Cần sa
- Cocain
- Thuốc lắc
- Các dẫn xuất amphetamine
- Axit lysergic dietylamit
Các yếu tố khác liên quan đến RCVS có thể bao gồm truyền máu và tiêm tĩnh mạch immunoglobulin cũng như các khối u tiết chất hoạt động mạch máu. Những khối u này bao gồm u thực bào, u carcinoid phế quản và u glomus.
4. Các triệu chứng của hội chứng co mạch não đảo ngược
Đau đầu dữ dội và đột ngột xuất hiện ở tất cả các bệnh nhân. Các triệu chứng khác có thể bao gồm:
- Đột quỵ hoặc cơn thiếu máu cục bộ thoáng qua
- Kiệt sức
- Các vấn đề về thị lực
- Co giật
Đau đầu dữ dội và đột ngột xuất hiện ở tất cả các bệnh nhân RCVS.
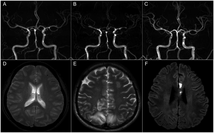
5. Hội chứng co mạch não đảo ngược được chẩn đoán như thế nào?
Chẩn đoán RCVS dựa trên tiền sử bệnh, các triệu chứng, khám sức khỏe toàn diện và kết quả chụp ảnh mạch máu não. Chẩn đoán hình ảnh thường gồm chụp mạch, chụp MRA hoặc CTA có thể cho thấy co thắt trong các mạch máu bị thu hẹp.
Xét nghiệm dịch não tủy có thể giúp loại trừ các tình trạng khác có vẻ tương tự như RCVS. Điều quan trọng là phải lặp lại hình ảnh mạch máu để đảm bảo rằng sự co thắt dẫn đến chẩn đoán có thể được xác nhận.
»»» Xem thêm: Co mạch là gì và khi nào thì gây nguy hiểm?
6. Điều trị hội chứng co mạch não đảo ngược như thế nào?
Hiện vẫn chưa có thuốc điều trị RCVS. Theo đó, nếu đang sử dụng những loại thuốc làm tăng nguy cơ RCVS, bệnh nhân nên nói chuyện với bác sĩ của mình về việc giảm liều hoặc ngừng sử dụng thuốc.
Việc sử dụng thuốc chẹn kênh canxi và nimodipine có thể làm giảm đau đầu. Trong một số trường hợp, bệnh nhân được truyền magiê qua đường tĩnh mạch. Nghỉ ngơi là điều quan trọng nhất trong điều trị RCVS.
Thi Nguyên – Benhdotquy.net
Lần đầu triển khai kỹ thuật khoan cắt mảng xơ vữa bằng laser tại Việt Nam
Lần đầu các bác sĩ tại Việt Nam triển khai kỹ thuật khoan cắt mảng xơ vữa bằng laser trong điều trị hẹp tắc động mạch chi dưới, mở ra hướng đi mới cho bệnh nhân cao tuổi mắc nhiều bệnh nền.
Multimedia
Theo dõi trên:Video
Mắc hội chứng chuyển hóa, nguy cơ đột quỵ và đột tử tăng cao
Mắc hội chứng chuyển hóa có thể khiến nguy cơ mắc các biến cố tim mạch nguy hiểm như đột quỵ hay đột tử tăng lên đáng kể. Các chuyên gia cảnh báo tình trạng này tuy tiến triển âm thầm nhưng lại là nền tảng thúc đẩy xơ vữa động mạch, làm gia tăng nguy cơ nhồi máu cơ tim và đột quỵ nếu không được phát hiện và kiểm soát sớm.
Sống sót sau đột quỵ, làm gì để không bị lần 2?
Giới trẻ và đột quỵ: Khi lối sống hiện đại trở thành sát thủ âm thầm
Giải mã mối quan hệ nguy hiểm giữa đái tháo đường và đột quỵ
Phòng Tránh Đột Quỵ – Bắt Đầu Từ 5 Bài Tập Đơn Giản
Ngăn đột quỵ ngay từ phút đầu – Những điều nên biết
7 tình huống khiến đường huyết tăng vọt có thể bạn chưa biết















">
">
"> 
