Hi hữu: Nhập viện vì tai biến nhưng phát hiện cùng lúc 2 bệnh ung thư hiếm gặp
Mới đây, bệnh viện Đa khoa Quốc tế S.I.S Cần Thơ thông tin về trường hợp nam bệnh nhân 75 tuổi nhập viện với các dấu hiệu cảnh báo đột quỵ não, nhưng trong khi thăm khám bác sĩ phát hiện người bệnh mắc đồng thời bệnh ung thư túi mật và ung thư gan.
Do có biểu hiện mệt mỏi, nhức đầu, yếu tay chân, méo miệng, gặp khó khăn khi nhai nuốt, cụ ông được người nhà đưa đến Bệnh viện Đa khoa Quốc tế S.I.S Cần Thơ. Tại đây, các bác sĩ nhận định bệnh nhân có nguy cơ tai biến và lên phác đồ điều trị. Khi tình trạng đã được kiểm soát, bệnh nhân được về nhà theo dõi và hẹn tái khám.

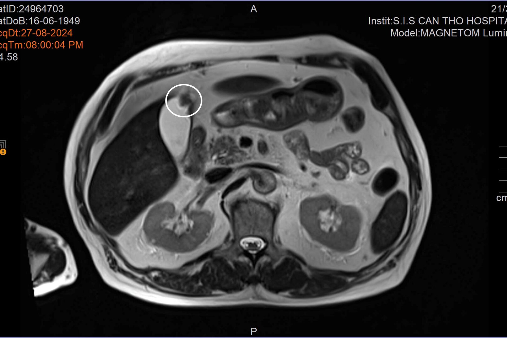
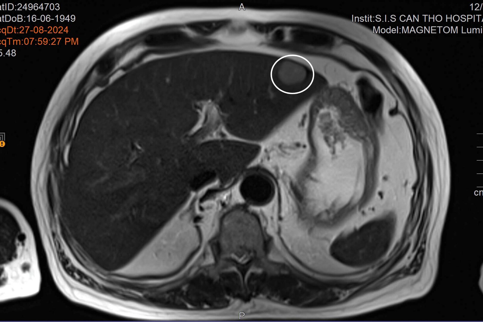
U gan (ảnh trên) và u túi mật được phát hiện khi bệnh nhân đến tái khám tình trạng tai biến (Ảnh: BVCC)
Trong đợt tái khám, kết quả các cận lâm sàng cho thấy bệnh nhân có những tổn thương ở gan và túi mật. ThS.BS Đặng Văn Sô Đa – Khoa Ngoại tổng tợp, Bệnh viện Đa khoa Quốc tế S.I.S Cần Thơ cho biết: “Ung thư túi mật là một bệnh lý hiếm gặp. Bệnh nhân lại cùng lúc có ung thư túi mật và ung thư gan. Bệnh nhân được điều trị bằng phương pháp nội soi ổ bụng, cắt túi mật nội soi và cắt một phần gan trước khối u”.
Phương pháp phẫu thuật nội soi có nhiều ưu điểm. Tổn thương có thể được xử lý thông qua vết mổ nhỏ, chỉ 5 – 10mm. Bệnh nhân tránh được ca mổ mở, tránh các nguy cơ nhiễm trùng sau mổ. Mổ nội soi rút ngắn được thời gian hồi phục, công tác hậu phẫu nhẹ nhàng và đơn giản hơn đáng kể.
Ekip thực hiện nội soi ội soi ổ bụng, cắt túi mật nội soi và cắt một phần gan trước khối u (Ảnh: BVCC)
Sau phẫu thuật, bệnh nhân có thể ăn uống, sinh hoạt bình thường. Các bác sĩ đánh giá vết mổ khô, lành tốt. 5 ngày sau phẫu thuật, sức khỏe của bệnh nhân ổn định và được xuất viện nhưng vẫn cần tái khám theo lịch hẹn.
Theo ThS.BS Đặng Văn Sô Đa, trường hợp của bệnh nhân nêu trên khá may mắn vì phát hiện sớm, có thể điều trị bằng phẫu thuật nội soi. Nếu chậm phát hiện, ung thư xâm lấn vào gan, đại tràng hay tá tràng, phẫu thuật gần như không thể thực hiện được.
Muộn hơn nữa, khi tế bào ung thư đã di căn xa đến phổi hoặc não, bệnh nhân gần như không còn cơ hội điều trị.
Sức khỏe của bệnh nhân ổn định, vết mổ lành tốt và được xuất viện (ảnh: BVCC)
|
ThS.BS Đặng Văn Sô Đa – Khoa Ngoại tổng hợp, Bệnh viện Đa khoa Quốc tế S.I.S Cần Thơ cho biết, những trường hợp đồng mắc ung thư túi mật và ung thư gan là rất hiếm, y văn thế giới thống kê chưa đến 20 trường hợp. ThS.BS Đặng Văn Sô Đa khuyến cáo, người dân nên thực hiện tầm soát các bệnh lý gan mật. Đặc biệt là những người thuộc nhóm nguy cơ cao như có sỏi túi mật, polyp túi mật, bệnh nhân viêm gan siêu vi B, C nên tái khám, theo dõi định kỳ. Người thường xuyên hút thuốc lá, uống rượu bia cũng nên thực hiện các xét nghiệm, chẩn đoán hình ảnh để phát hiện sớm các trường hợp ung thư gan, từ đó có những biện pháp điều trị hiệu quả. |
- Từ khóa:
5 điều quan trọng giúp kiểm soát đường huyết hiệu quả
Kiểm soát đường huyết là nền tảng giúp người bệnh đái tháo đường phòng ngừa biến chứng và duy trì cuộc sống khỏe mạnh, dưới đây là 5 nguyên tắc đơn giản nhưng đóng vai trò quyết định đối với sức khỏe đường huyết.
Multimedia
Theo dõi trên:Video
Suýt ngừng tim vì nửa lít dịch bao quanh tim
Cảm giác lồng ngực bị bóp nghẹt, khó thở và mệt mỏi tăng dần khiến nữ bệnh nhân 57 tuổi, ngụ Phú Thọ phải nhập viện cấp cứu. Kết quả siêu âm tim cho thấy tràn dịch màng ngoài tim chèn ép tim, bác sĩ đã kịp thời chọc hút 500ml dịch máu không đông, giúp bệnh nhân thoát khỏi nguy cơ tử vong trong gang tấc.
-
Sống sót sau đột quỵ, làm gì để không bị lần 2?
-
Giới trẻ và đột quỵ: Khi lối sống hiện đại trở thành sát thủ âm thầm
-
Giải mã mối quan hệ nguy hiểm giữa đái tháo đường và đột quỵ
-
Phòng Tránh Đột Quỵ – Bắt Đầu Từ 5 Bài Tập Đơn Giản
-
Ngăn đột quỵ ngay từ phút đầu – Những điều nên biết
-
7 tình huống khiến đường huyết tăng vọt có thể bạn chưa biết












">
">
">

