Hà Tĩnh: Nam sinh 14 tuổi hôn mê trong giờ học do xuất huyết não

Ngày 17/4, một nam sinh 14 tuổi ở huyện Đức Thọ (Hà Tĩnh) bất ngờ xuất hiện triệu chứng đau đầu dữ dội kèm theo nôn mửa trong lúc đang học. Em nhanh chóng được nhà trường đưa đi cấp cứu tại Trung tâm Y tế Hồng Lĩnh.

21-04-2025 17:05
Theo dõi trên |

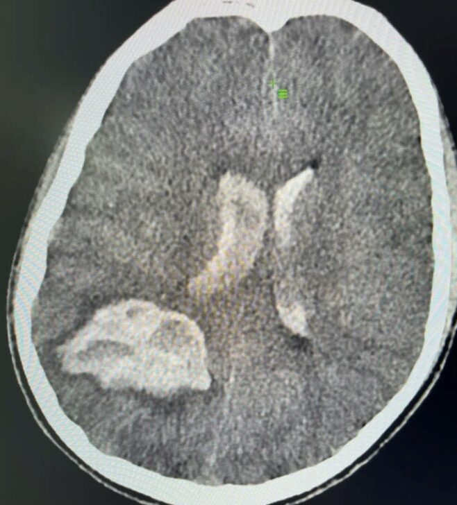
Theo thông tin từ các bác sĩ, bệnh nhân P.A.S được chỉ định chụp cắt lớp vi tính sọ não ngay khi nhập viện. Kết quả cho thấy em bị xuất huyết não lan vào não thất – tình trạng cấp cứu nguy hiểm, có thể đe dọa tính mạng nếu không được xử trí kịp thời.

Bệnh nhân được xác định xuất huyết não qua hình ảnh cắt lớp vi tính

Bệnh nhân hiện đang được điều trị tích cực tại khoa Hồi sức tích cực – Chống độc. Các bác sĩ đang theo dõi sát tình trạng thần kinh, huyết động của bệnh nhân, đồng thời thực hiện các biện pháp kiểm soát áp lực nội sọ và phòng ngừa biến chứng nguy hiểm.

Nguyên nhân gây xuất huyết não ở bệnh nhi vẫn đang được tiếp tục xác định. Các chuyên gia cho biết, dù còn trẻ nhưng trẻ vị thành niên vẫn có nguy cơ mắc các bệnh lý mạch máu não, nhất là khi có dị dạng mạch máu bẩm sinh hoặc tăng huyết áp chưa được phát hiện.

Theo các bác sĩ, xuất huyết não ở trẻ em là tình trạng hiếm gặp nhưng không thể chủ quan. Nguyên nhân có thể liên quan đến dị dạng mạch máu bẩm sinh, tăng huyết áp, chấn thương hoặc rối loạn đông máu. Những dấu hiệu như đau đầu dữ dội, nôn mửa, rối loạn ý thức cần được xem là tình trạng cấp cứu, đòi hỏi đưa trẻ đến cơ sở y tế ngay lập tức.

Các chuyên gia khuyến cáo, phụ huynh và nhà trường cần chú ý theo dõi sát các biểu hiện bất thường về sức khỏe của trẻ, đặc biệt là các dấu hiệu thần kinh. Việc kiểm tra sức khỏe định kỳ có vai trò rất quan trọng trong việc phát hiện sớm những bệnh lý tiềm ẩn như tăng huyết áp, tim mạch hoặc dị dạng mạch máu não, giúp ngăn ngừa những biến cố nguy hiểm.

Nguồn: Trung tâm Y tế Hồng Lĩnh, Hà Tĩnh

Kết quả chụp mạch máu “có hiệu lực” trong bao lâu?

Kết quả chụp mạch máu “có hiệu lực” trong bao lâu?

Kết quả chụp mạch máu là căn cứ quan trọng giúp bác sĩ chẩn đoán và theo dõi bệnh lý tim mạch, đột quỵ. Tuy nhiên, nhiều người vẫn băn khoăn liệu những hình ảnh này có thể sử dụng trong bao lâu trước khi cần chụp lại. Thực tế, “giá trị” của kết quả không phải lúc nào cũng cố định, mà phụ thuộc vào diễn tiến bệnh và tình trạng sức khỏe của từng người.

Chăm sóc đột quỵ

Dấu hiệu đột quỵ

Tầm soát đột quỵ