Đừng phí thời gian tự chữa tại nhà khi trẻ đau đầu, nôn ói, lừ đừ
Khi trẻ em có triệu chứng đau đầu, nôn ói, lừ đừ… là dấu hiệu của đột quỵ, đặc biệt là xuất huyết não thường gặp ở trẻ nhỏ, phụ huynh đừng phí thời gian tự chữa tại nhà mà hãy lập tức đưa trẻ đến bệnh viện để các cháu được cấp cứu càng sớm càng tốt.
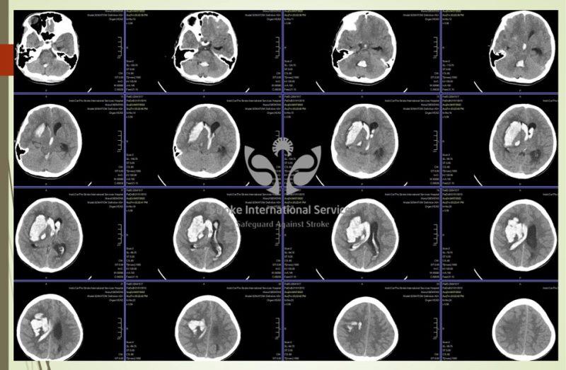
Nhiều trường hợp trẻ em bị đột quỵ xuất huyết não, có dị dạng mạch máu não bẩm sinh, túi phình mạch máu não đã được đưa đến Bệnh viện Đa khoa Quốc tế S.I.S Cần Thơ trong thời gian gần đây, với triệu chứng khởi đầu là đau đầu, nôn ói, lừ đừ. TS.BS Trần Chí Cường – Giám đốc chuyên môn Bệnh viện S.I.S khuyến cáo: “Hãy cảnh giác với những cơn đau đầu đột ngột, kèm nôn ói, lừ đừ, tiếp xúc chậm chạp của trẻ em trong nhà! Đây là trường hợp bé 11 tuổi vừa được cấp cứu tối qua tại S.I.S Cần Thơ! Hiện còn đang nguy kịch.
Hình ảnh xuất huyết não của bé 11 tuổi vừa được cấp cứu tối 7/4 tại Bệnh viện Đa khoa Quốc tế S.I.S Cần Thơ
Vỡ dị dạng mạch máu não là nguyên nhân phải nghĩ đến đầu tiên trong bệnh cảnh đột quỵ não trẻ em, khác hoàn toàn với đột quỵ người cao tuổi thường gặp tắc mạch gây nhồi máu não nhiều hơn. Đừng phí thời gian tự chữa tại nhà để tránh rủi ro cho các cháu, đôi khi còn mất luôn vĩnh viễn “cục vàng duy nhất của mình”… Với S.I.S không có gì khó trong việc chẩn đoán ngay nguyên nhân gây xuất huyết não trẻ em. Vấn đề khó nằm ở chỗ: lượng máu chảy? vị trí xuất huyết? tình trạng lâm sàng lúc nhập viện?… có còn cơ hội để cứu chữa cho các cháu hay không? Thời gian vẫn là yếu tố chúng ta có thể hi vọng và cũng đôi khi là tuyệt vọng không thể quay lại dù chỉ 1 phút giây! Xin các bậc phụ huynh chú ý: khi các cháu kêu đau đầu quá, nôn ói bất thường, lơ mơ, không linh hoạt như thường ngày, co giật, động kinh. yếu tay chân 1 bên… phải đi khám ngay. Việc chẩn đoán sớm được 1 dị dạng mạch máu não lúc chưa vỡ thì việc điều trị sẽ chủ động hoàn toàn và tất nhiên là an toàn hơn gấp 10 lần so với can thiệp lúc đã vỡ. Xin cám ơn các bệnh viện, các đồng nghiệp chuyên khoa nhi đã phối hợp rất tốt để cứu các cháu!”
TS.BS Trần Chí Cường – Benhdotquy.net
Những thói quen trước khi ngủ giúp giảm nguy cơ đột quỵ ban đêm
Đột quỵ không chỉ xảy ra vào ban ngày mà còn có thể xuất hiện trong lúc ngủ, đặc biệt ở những người có bệnh nền tim mạch, tăng huyết áp hoặc rối loạn chuyển hóa. Theo các chuyên gia, việc duy trì những thói quen lành mạnh trước giờ đi ngủ có thể góp phần giảm nguy cơ đột quỵ, bảo vệ não bộ và hệ tim mạch.
Multimedia
Theo dõi trên:Video
Hẹp động mạch vành: Nguy hiểm thế nào và do đâu?
Hẹp động mạch vành là tình trạng lòng mạch nuôi tim bị thu hẹp, làm giảm lượng máu và oxy đến cơ tim. Nếu không được phát hiện, kiểm soát và điều trị kịp thời, bệnh có thể tiến triển âm thầm nhưng dẫn đến nhiều biến cố nguy hiểm như nhồi máu cơ tim, suy tim, rối loạn nhịp tim, thậm chí đột tử. Vậy nguyên nhân nào gây hẹp động mạch vành và những yếu tố nguy cơ nào cần đặc biệt cảnh giác?
Sống sót sau đột quỵ, làm gì để không bị lần 2?
Giới trẻ và đột quỵ: Khi lối sống hiện đại trở thành sát thủ âm thầm
Giải mã mối quan hệ nguy hiểm giữa đái tháo đường và đột quỵ
Phòng Tránh Đột Quỵ – Bắt Đầu Từ 5 Bài Tập Đơn Giản
Ngăn đột quỵ ngay từ phút đầu – Những điều nên biết
7 tình huống khiến đường huyết tăng vọt có thể bạn chưa biết















">
">
"> 
