Đột quỵ trong mùa lạnh, đừng chủ quan

Mùa lạnh chính là thời điểm khiến những người có bệnh lý nền bị đột quỵ xuất huyết não nhiều hơn. Trong bài tư vấn này, TS.BS Trần Chí Cường – Giám đốc Bệnh viện Đa khoa Quốc Tế S.I.S Cần Thơ sẽ giải đáp nguyên nhân và cách phòng ngừa đột quỵ khi thời tiết giao mùa.

27-10-2022 11:06
Theo dõi trên |

1. Tỷ lệ đột quỵ trong mùa lạnh như thế nào?

TS.BS Trần Chí Cường trả lời: Mỗi năm cứ vào thời gian giáp Tết, chúng tôi ghi nhận có một tỷ lệ gia tăng bệnh lý về đột quỵ rất lớn, đặc biệt đột quỵ xuất huyết não liên quan đến việc thay đổi thời tiết từ nóng sang lạnh. Phòng cấp cứu của các bệnh viện điều trị đột quỵ đều ghi nhận số ca mắc tăng đáng kể, trong đó đa số là bệnh nhân bị xuất huyết khoang dưới nhện, nguyên nhân do vỡ phình mạch máu não. Nhiều tài liệu nghiên cứu ở các nước phát triển cho thấy, khi nhiệt độ môi trường giảm 3 độ C, thì nguy cơ bệnh nhân nhập viện do đột quỵ tăng lên 6%. Thực tế tại Việt Nam, các bệnh viện trên toàn quốc cũng ghi nhận về sự gia tăng người bị đột quỵ trong thời tiết chuyển mùa.

TS.BS Trần Chí Cường – Chủ tịch Hội Can thiệp Thần kinh TP.HCM, Giám đốc Bệnh viện Đa khoa Quốc Tế S.I.S Cần Thơ TS.BS Trần Chí Cường – Chủ tịch Hội Can thiệp Thần kinh TP.HCM, Giám đốc Bệnh viện Đa khoa Quốc Tế S.I.S Cần Thơ

2. Nguyên nhân khiến người bị đột quỵ tăng mạnh trong mùa lạnh?

TS.BS Trần Chí Cường trả lời: Thứ nhất, nhiệt độ môi trường lạnh khiến cơ thể chúng ta bị co mạch ngoại biên, tức là mạch máu tay chân chúng ta có khuynh hướng co lại. Điều này làm gia tăng một cách thụ động lưu lượng tuần hoàn trên các cơ quan sâu trong cơ thể, đặc biệt là não và tim. Đối với mạch máu não, đây là hệ thống rất mềm yếu và nếu có sự gia tăng như vậy sẽ khiến mạch máu não của chúng ta dễ xuất huyết. Đó là nguyên nhân giải thích vì sao nhiều bệnh nhân bị xuất huyết não trong mùa lạnh. Thứ hai là trong thời tiết chuyển mùa, có một sự gia tăng đáng kể bệnh nhân tăng huyết áp đột biến dẫn đến đột quỵ. Tình trạng này rất dễ giải thích vì trong thời tiết lạnh, các lượng máu ngoại biên sẽ dồn về tim và làm cho tim tăng co bóp khiến lưu lượng máu tăng lên. Vì vậy, bệnh nhân sẽ có nguy cơ xuất huyết não.

3. Cảnh giác đau đầu trong mùa lạnh

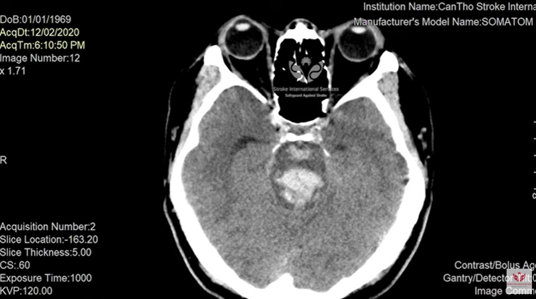
TS.BS Trần Chí Cường trả lời: Chúng ta cần theo dõi bệnh nhân, nếu đang điều trị bệnh lý nền như tim mạch, huyết áp, tiểu đường thì phải kiểm soát các chỉ số và điều trị tích cực hơn. Một trong những yếu tố khiến đường huyết, huyết áp tăng cao và khó kiểm soát hơn trong thời tiết lạnh là do người bệnh ngủ nhiều, lười vận động. Đây là yếu tố nguy cơ dẫn đến hiệu quả xấu như đột quỵ. Do đó cần phải thay đổi lại lối sống, sinh hoạt khoa học hơn. Tại bệnh viện S.I.S Cần Thơ cũng từng ghi nhận nhiều bệnh nhân hôn mê vì bị tăng đường huyết trong mùa lạnh. Một số trường hợp đường huyết lên tới 700mg/dL hoặc 300mg/dL khiến bệnh nhân hôn mê. Nếu không cấp cứu kịp thời, việc hôn mê do tăng đường huyết sẽ diễn tiến nặng và tử vong. Ví dụ một bệnh nhân nam, 51 tuổi nhập viện do đau đầu, sau đó lơ mơ và hôn mê. Hình ảnh cho thấy bệnh nhân bị xuất huyết não nặng nề. Vị trí xuất huyết não xảy ra ở vùng cầu não, sau đó bệnh nhân tử vong trong 24 giờ sau khi nhập viện.bệnh nhân đột quỵTrường hợp đáng tiếc thứ 2 là bệnh nhân nam 29 tuổi, nhập viện trong tình trạng hôn mê sâu. Trên hình ảnh chụp CT phát hiện phình mạch máu não khổng lồ 5cm và túi phình đã bị xuất huyết, lượng máu phun ra ngoài. Đây là trường hợp khiến chúng ta bị động. Mặc dù chúng tôi cố điều trị hết sức nhưng vài ngày sau, bệnh nhân đã tử vong. Đây là trường hợp đáng tiếc. Những ai có túi phình não trong mùa lạnh sẽ có nguy cơ bị xuất huyết não. Vì vậy cần tầm soát tốt khi bệnh nhân có triệu chứng về đau đầu.

4. Làm sao phòng đột quỵ trong mùa lạnh?

TS.BS Trần Chí Cường trả lời: Số lượng bệnh nhân đột quỵ gia tăng đáng kể, đặc biệt là đột quỵ xuất huyết não do tăng huyết áp hay vỡ phình mạch máu não. Do đó, nếu có dấu hiệunhư đau đầu dữ dội, huyết áp tăng đột biến thì cần đi đến bệnh viện gần nhất để được chẩn đoán có bị đột quỵ hay không. Nhóm người có yếu tố nguy cơ như tăng huyết áp, hút thuốc nhiều, tiểu đường và đang điều trị dùng thuốc cần quan tâm đến sức khỏe của mình. Chúng ta phải uống thuốc đều đặn hơn và đến tái khám bác sĩ để tăng liều huyết áp trong thời tiết lạnh. Tương tự, đối với bệnh nhân tiểu đường trong mùa lạnh, chúng ta thường có khuynh hướng ít tập thể dục và ít vận động gây tác động khiến đường huyết gia tăng. Vì vậy, cần đến khám, theo dõi thường xuyên hơn nếu đang phải điều trị bệnh tiểu đường. >>> Xem thêm: Đề phòng đột quỵ mùa lạnh, bạn cần làm gì?

Trong Dy (ghi), benhdotquy.net (Nguồn: Bệnh viện S.I.S Cần Thơ)

Uống đủ nước có vai trò gì trong phòng ngừa đột quỵ?

Uống đủ nước có vai trò gì trong phòng ngừa đột quỵ?

Nước chiếm khoảng 60–70% trọng lượng cơ thể và tham gia vào hầu hết các quá trình sinh lý quan trọng. Tuy nhiên, không phải ai cũng nhận thức đầy đủ rằng việc uống đủ nước mỗi ngày có thể góp phần giảm nguy cơ đột quỵ – một trong những nguyên nhân gây tử vong và tàn phế hàng đầu hiện nay.

Chăm sóc đột quỵ

Dấu hiệu đột quỵ

Tầm soát đột quỵ