Đau đầu, buồn nôn và ói mửa: Cảnh giác với tụ máu dưới màng cứng

Tụ máu dưới màng cứng là khối máu đông hình thành trong khoang dưới màng cứng, thường do chấn thương đầu nghiêm trọng. Chảy máu và thêm áp lực lên não do tụ máu dưới màng cứng có thể đe dọa tính mạng. Dưới đây là những triệu chứng nhận diện và hướng điều trị khi bị tụ mú dưới màng cứng.

19-05-2022 10:52
Theo dõi trên |

1. Triệu chứng tụ máu dưới màng cứng

Các triệu chứng của tụ máu dưới màng cứng phụ thuộc chủ yếu vào tốc độ chảy máu:

– Khi bị thương ở đầu, chảy máu đột ngột, nghiêm trọng gây tụ máu dưới màng cứng, một người có thể bất tỉnh ngay lập tức hoặc thậm chí hôn mê.

– Một người có thể bình thường trong vài ngày sau khi bị chấn thương đầu, nhưng từ từ trở nên lú lẫn rồi ngất đi vài ngày sau đó.

– Trong máu tụ dưới màng cứng phát triển rất chậm, có thể không có triệu chứng đáng chú ý trong hơn 2 tuần sau khi bắt đầu chảy máu.

Các triệu chứng của tụ máu dưới màng cứng bao gồm:

– Đau đầu

– Sự hoang mang

– Thay đổi hành vi

– Chóng mặt

– Buồn nôn và ói mửa

– Hôn mê hoặc buồn ngủ quá mức

– Yếu đuối

– Sự thờ ơ

– Co giật

Các triệu chứng xuất hiện phụ thuộc vào một số yếu tố. Bên cạnh kích thước của khối máu tụ dưới màng cứng, tuổi và các tình trạng y tế khác có thể ảnh hưởng đến cách cơ thể bạn phản ứng với. Máu tụ dưới màng cứng phát triển chậm thường gặp hơn ở người lớn tuổi.

Máu tụ dưới màng cứng là một bệnh nặng và cần điều trị cấp cứu khẩn cấp.

»»» Xem thêm: Mối quan hệ giữa chứng đau nửa đầu và đột quỵ là gì?

2. Nguyên nhân tụ máu dưới màng cứng

Tụ máu dưới màng cứng thường do chấn thương đầu, chẳng hạn như ngã, va chạm xe hoặc bị hành hung, cú đánh đột ngột vào đầu làm rách các mạch máu chạy dọc bề mặt não. Những trường hợp này được gọi là tụ máu dưới màng cứng cấp tính.

Những người bị rối loạn chảy máu và những người dùng thuốc làm loãng máu có nhiều khả năng bị tụ máu dưới màng cứng. Theo đó, một chấn thương đầu tương đối nhẹ cũng có thể gây tụ máu dưới màng cứng ở những người có xu hướng chảy máu.

Trong tụ máu dưới màng cứng mãn tính, các tĩnh mạch nhỏ ở bề mặt ngoài của não có thể bị rách, gây chảy máu trong khoang dưới màng cứng. Các triệu chứng có thể không rõ ràng trong vài ngày hoặc vài tuần.

Người cao tuổi có nguy cơ bị tụ máu dưới màng cứng mãn tính cao hơn vì não bị co rút khiến các tĩnh mạch nhỏ này bị kéo căng hơn và dễ bị rách hơn.

Tụ máu dưới màng cứng thường do chấn thương đầu, chẳng hạn như ngã, va chạm xe hoặc bị hành hung.Tụ máu dưới màng cứng thường do chấn thương đầu, chẳng hạn như ngã, va chạm xe hoặc bị hành hung.

3. Các phương pháp chẩn đoán tụ máu dưới màng cứng

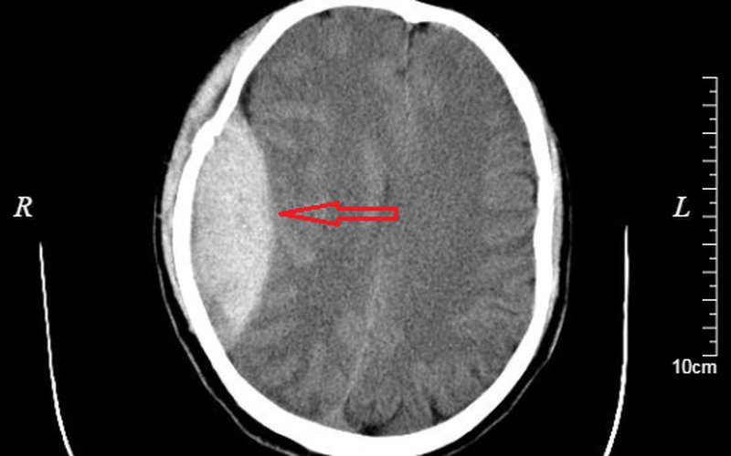
Những người chấn thương đầu thường được chụp cắt lớp vi tính (CT scan) hoặc chụp cộng hưởng từ (chụp MRI). Các xét nghiệm này tạo ra hình ảnh bên trong hộp sọ, giúp phát hiện bất kỳ khối máu tụ dưới màng cứng nào hiện diện.

MRI có ưu thế hơn CT một chút trong việc phát hiện máu tụ dưới màng cứng, nhưng CT nhanh hơn và sẵn có hơn.

Hiếm khi chụp động mạch có thể được sử dụng để chẩn đoán tụ máu dưới màng cứng. Trong quá trình chụp mạch (angiogram), một ống thông được đưa qua động mạch ở đùi và luồn vào động mạch cổ và não. Thuốc đặc biệt sau đó được tiêm vào, và màn hình X-quang cho thấy dòng máu chảy qua các động mạch và tĩnh mạch.

»»» Xem thêm: Các loại bệnh do huyết khối gây ra, bạn đã biết chưa?

4. Điều trị tụ máu dưới màng cứng như thế nào?

Điều trị máu tụ dưới màng cứng tùy thuộc vào mức độ nghiêm trọng của chúng. Điều trị có thể bao gồm theo dõi và phẫu thuật não.

Trong trường hợp tụ máu dưới màng cứng nhỏ với các triệu chứng nhẹ, bác sĩ có thể không khuyến nghị điều trị cụ thể nào ngoài việc quan sát. Các xét nghiệm chẩn đoán hình ảnh não lặp lại thường được thực hiện để theo dõi xem tình trạng tụ máu dưới màng cứng có cải thiện hay không.

Các khối máu tụ dưới màng cứng nặng hơn hoặc nguy hiểm hơn cần phải phẫu thuật để giảm áp lực cho não. Bác sĩ phẫu thuật có thể sử dụng các kỹ thuật khác nhau để điều trị máu tụ dưới màng cứng:

Khoan sọ và dẫn lưu ổ tụ mủ (Burr hole): Một lỗ được khoan trên hộp sọ trên khu vực tụ máu dưới màng cứng và máu được hút ra ngoài qua lỗ.

Phẫu thuật loại bỏ một phần của hộp sọ (craniotomy): Một phần lớn hơn của hộp sọ được loại bỏ, để cho phép tiếp cận tốt hơn với máu tụ dưới màng cứng và giảm áp lực. Hộp sọ bị loại bỏ được thay thế ngay sau thủ thuật.

Cắt bỏ sọ (Craniectomy): Một phần của hộp sọ được cắt bỏ trong một thời gian dài, để cho phép phần não bị thương mở rộng và sưng lên mà không bị tổn thương vĩnh viễn. Phẫu thuật cắt sọ thường không được sử dụng để điều trị tụ máu dưới màng cứng.

Những người bị tụ máu dưới màng cứng nặng thường bị bệnh nặng, cần được hỗ trợ thở bằng máy và các hình thức hỗ trợ sự sống khác. Nếu một người có vấn đề về chảy máu hoặc đang dùng thuốc làm loãng máu, nên thực hiện các biện pháp để cải thiện quá trình đông máu.

Điều này có thể bao gồm việc cung cấp thuốc hoặc các sản phẩm máu, và đảo ngược bất kỳ chất làm loãng máu nào, khi có thể. Các loại thuốc khác để giúp giảm sưng hoặc áp lực trong não hoặc kiểm soát cơn động kinh cũng có thể được sử dụng.

5. Biến chứng tụ máu dưới màng cứng

Một số máu tụ dưới màng cứng có thể gây ra các biến chứng nghiêm trọng, bao gồm hôn mê hoặc thậm chí tử vong. Điều này có thể xảy ra nếu khối máu tụ không được điều trị, hoặc thậm chí là khi điều trị. Các biến chứng có thể xảy ra bao gồm:

– Thoát vị não: Xảy ra khi mô não, máu và dịch não tủy (CSF) dịch chuyển khỏi vị trí tự nhiên của chúng bên trong hộp sọ. Điều này có thể dẫn đến tử vong.

– Chảy máu: Nếu lớn tuổi hơn, bạn có nguy cơ cao bị xuất huyết khác khi hồi phục sau lần đầu tiên, đặc biệt nếu bạn bị chấn thương ở đầu.

– Co giật: Bạn có thể bị co giật, ngay cả khi đã điều trị tụ máu.

Bệnh nhân có thể gặp biến chứng co giật ngay cả khi đã điều trị tụ máu.Bệnh nhân có thể gặp biến chứng co giật ngay cả khi đã điều trị tụ máu.

»»» Xem thêm: Phòng ngừa phù não sau đột quỵ bằng cách nào?

6. Cơ hội sống của người bị tụ máu dưới màng cứng như thế nào?

Tình hình sức khỏe sau khi điều trị tụ máu dưới màng cứng phụ thuộc vào độ tuổi của bạn, mức độ nghiêm trọng của chấn thương đầu và bạn được điều trị nhanh chóng như thế nào. Bạn càng trẻ, cơ hội sống sót của bạn càng cao.

Tiên lượng tốt nhất nếu máu tụ dưới màng cứng là mãn tính, bạn đối phó với ít triệu chứng và bạn không bất tỉnh sau chấn thương đầu.

Người lớn tuổi có nguy cơ bị chảy máu não khác cao nhất sau khi tụ máu dưới màng cứng. Não người lớn tuổi không mở rộng và lấp đầy khoảng trống còn lại sau khi tụ máu. Với nhiều không gian hơn giữa não và hộp sọ, khả năng chảy máu của bạn sẽ tăng lên, ngay cả khi bị thương nhẹ ở đầu.

Anh Thi – Benhdotquy.net

7 thức uống giúp giải nhiệt, ngủ ngon hơn trong mùa nắng nóng

7 thức uống giúp giải nhiệt, ngủ ngon hơn trong mùa nắng nóng

Nắng nóng kéo dài không chỉ khiến cơ thể mệt mỏi, mất nước mà còn ảnh hưởng rõ rệt đến chất lượng giấc ngủ. Nhiều người than phiền tình trạng khó ngủ, ngủ chập chờn, thức giấc giữa đêm do cảm giác oi bức, nóng trong người hoặc đổ mồ hôi nhiều.

Theo các chuyên gia dinh dưỡng, lựa chọn đúng thức uống trong mùa hè có thể hỗ trợ điều hòa thân nhiệt, bù nước và giúp cơ thể thư giãn tốt hơn trước khi ngủ. Tuy nhiên, không phải loại nước nào “mát” cũng phù hợp để dùng vào buổi tối.

Chăm sóc đột quỵ

Dấu hiệu đột quỵ

Tầm soát đột quỵ