Đặt câu hỏi tư vấn
Nếu các bạn có bất kỳ thắc mắc gì về bệnh đột quỵ, hãy đặt câu hỏi cho chúng tôi dưới đây:Thường xuyên đau đầu nhưng uống thuốc không đỡ, nguyên nhân do đâu?
Chào BS, Mẹ em 65 tuổi bị đau đầu thường xuyên, đi khám các nơi thì BS nói bị rối loạn thần kinh thực vật, uống thuốc nhiều năm nhưng không khỏi, mong bác sĩ tư vấn ạ. (Lê Nhân – Sóc Trăng)
26-04-2024 11:38
Đái tháo đường type 1 và type 2 khác nhau như thế nào?
Chào BS, Xin BS cho biết dấu hiệu cảnh báo giữa tiểu đường type 1 và type 2 khác nhau như thế nào? Em cảm ơn BS nhiều ạ. (Cao Thị Lan Hương – Đà Nẵng)
25-04-2024 15:49
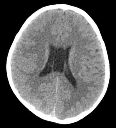
Xuất hiện nang vách ở não, có nguy hiểm không?
Chào BS, Em 20 tuổi, vừa qua em hay đau đầu chóng mặt nên đi khám bác sĩ cho chụp cắt lớp kết luận có nang vách ở não, xin hỏi nang này là gì và có nguy hiểm không? Nhờ bác sĩ tư vấn giúp em ạ. (Thiên Hà – Thủ Đức)
25-04-2024 15:15
Cảm thấy đau ngực, khó thở khi nằm là dấu hiệu bệnh gì?
Chào BS, Khoảng 1 tháng nay, khi tôi nằm xuống, ngực trái rất khó chịu và hơi khó thở, nằm ngửa cũng nén ngực, nằm nghiêng cũng tức ngực, trong người tôi thấy mệt mỏi và kém ngủ, liệu tôi bị bệnh gì vậy bác sĩ? Cảm ơn bác sĩ ạ. (Vương Minh Tuấn – Hà Nội)
25-04-2024 10:42
Đái tháo đường được phân loại như thế nào?
Chào BS, Đái tháo đường được phân loại ra sao, trong đó căn bệnh nào là phổ biến nhất, thưa BS? (Minh Mẫn – Vĩnh Long)
24-04-2024 16:07
Dùng thuốc mỡ máu sau đặt stent, bị đau đầu phải làm thế nào?
Chào BS, Em đặt stent gần 2 năm, dùng thuốc mỡ máu hay bị đau đầu mình nên làm sao thưa BS? (Thu Thảo – Yên Bái)
24-04-2024 14:53
Người bệnh tiểu đường liệu có tăng nguy cơ bị đột quỵ cao hơn các bệnh lý nền khác?
Chào BS, Cho tôi hỏi, lâu nay tôi thường nghe người bị cao huyết áp và mỡ máu thì dễ bị tai biến mạch máu não. Nay tôi lại được nghe người bệnh tiểu đường nguy cơ tai biến còn cao hơn, có phải không BS? Vậy tai biến ở người bệnh tiểu đường và người cao huyết áp có khác gì nhau? Phòng ngừa và điều trị có khác nhau không? Cảm ơn BS, chúc BS năm mới nhiều thành công! (Hùng Dũng – 56 tuổi, Q.12, TPHCM)
24-04-2024 10:27
Multimedia
Theo dõi trên:Video
Chóng mặt kéo dài, coi chừng đột quỵ: Bác sĩ cảnh báo dấu hiệu dễ nhầm lẫn
Chóng mặt là triệu chứng rất phổ biến, nhưng không phải lúc nào cũng vô hại. Trong nhiều trường hợp, đây có thể là dấu hiệu cảnh báo sớm của đột quỵ, đặc biệt khi kéo dài, dữ dội hoặc kèm theo các biểu hiện bất thường. Các bác sĩ khuyến cáo người dân cần nhận biết đúng để tránh nhầm lẫn nguy hiểm và không bỏ lỡ “thời gian vàng” điều trị.
Sống sót sau đột quỵ, làm gì để không bị lần 2?
Giới trẻ và đột quỵ: Khi lối sống hiện đại trở thành sát thủ âm thầm
Giải mã mối quan hệ nguy hiểm giữa đái tháo đường và đột quỵ
Phòng Tránh Đột Quỵ – Bắt Đầu Từ 5 Bài Tập Đơn Giản
Ngăn đột quỵ ngay từ phút đầu – Những điều nên biết
7 tình huống khiến đường huyết tăng vọt có thể bạn chưa biết




























">
">
"> 
