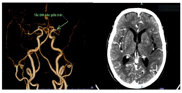
Hy hữu: Người phụ nữ thoát khỏi “cửa tử” dù 3 lần đột quỵ
Người phụ nữ 60 tuổi (ngụ tại Ninh Thuận) bị đột quỵ 3 lần và đều được can thiệp thành công, thoát tử vong. Trường hợp này được các bác sĩ đánh giá là một ca bệnh hy hữu và cực kỳ may mắn.
16-12-2023 17:38
Phú Thọ: Cụ bà 92 tuổi thoát khỏi di chứng của đột quỵ nhờ được can thiệp mạch máu não kịp thời
Bệnh viện Đa khoa tỉnh Phú Thọ vừa tiếp nhận và can thiệp thành công một trường hợp đột quỵ ở người cao tuổi, cụ bà 92 tuổi có tiền sử khỏe mạnh, chưa từng phát hiện tiền sử bệnh lý đặc biệt (tăng huyết áp, đái tháo đường,…) bị nhồi máu não cấp do tắc động mạch não giữa bên phải giờ thứ 6, đã rối loạn ý thức, khó nói, méo miệng, liệt 1/2 người phải.
14-12-2023 16:27
Tập thể dục như thế nào để tránh nguy cơ đột quỵ vào mùa Đông?
Để phòng ngừa đột quỵ trong mùa đông, cần chú ý giữ ấm cơ thể, ngủ trong phòng kín, tránh để nhiễm lạnh đột ngột khi ra khỏi chăn ấm, đi ra ngoài hoặc tập thể dục ngoài trời vào buổi sáng.
04-12-2023 15:39
5 thời điểm không nên tắm gội khi thời tiết trở lạnh tránh đột tử, đột quỵ
Tắm là cách làm sạch da và giữ cho hệ miễn dịch khỏe mạnh. Tuy nhiên, có những thời điểm tuyệt đối không nên tắm gội vì có thể gây hại cho sức khỏe.
29-11-2023 15:35
Phòng khám Đa khoa Quốc tế S.I.S Đà Nẵng chính thức hoạt động: Chụp 1.000 ca MRI miễn phí cho bệnh nhân
Tiếp nối thành công của Bệnh viện Đa khoa Quốc tế S.I.S Cần Thơ, ngày 4/12/2023 Phòng khám Đa khoa Quốc tế S.I.S Đà Nẵng sẽ chính thức đi vào hoạt động với nhiều trang thiết bị và máy móc hiện đại, đáp ứng đầy đủ nhu cầu khám và tầm soát đột quỵ cho người dân trong khu vực.
28-11-2023 15:08
TPHCM: Người đàn ông bị đột quỵ ngay trước mặt bác sĩ do ngừng thuốc rung nhĩ 2 ngày
Đi tái khám trễ và ngưng dùng thuốc 2 ngày, người đàn ông có tiền sử bệnh rung nhĩ bất ngờ bị đột quỵ với các biểu hiện liệt nửa người, méo miệng, nói đớ trong khi đang được bác sĩ thăm khám. May mắn, bệnh nhân được cứu chữa kịp thời ngay tại bệnh viện.
27-11-2023 16:03
Cạo gió liệu có điều trị được đột quỵ?
Các chuyên gia cho rằng, việc bôi dầu, cạo gió và cắt lể là những phương pháp không có cơ sở khoa học trong điều trị đột quỵ. Bệnh nhân khi bị đột quỵ cần phải được đưa đến cơ sở y tế gần nhất có khả năng cấp cứu đột quỵ.
23-11-2023 18:07
Multimedia
Theo dõi trên:Video
Mắc hội chứng chuyển hóa, nguy cơ đột quỵ và đột tử tăng cao
Mắc hội chứng chuyển hóa có thể khiến nguy cơ mắc các biến cố tim mạch nguy hiểm như đột quỵ hay đột tử tăng lên đáng kể. Các chuyên gia cảnh báo tình trạng này tuy tiến triển âm thầm nhưng lại là nền tảng thúc đẩy xơ vữa động mạch, làm gia tăng nguy cơ nhồi máu cơ tim và đột quỵ nếu không được phát hiện và kiểm soát sớm.
Sống sót sau đột quỵ, làm gì để không bị lần 2?
Giới trẻ và đột quỵ: Khi lối sống hiện đại trở thành sát thủ âm thầm
Giải mã mối quan hệ nguy hiểm giữa đái tháo đường và đột quỵ
Phòng Tránh Đột Quỵ – Bắt Đầu Từ 5 Bài Tập Đơn Giản
Ngăn đột quỵ ngay từ phút đầu – Những điều nên biết
7 tình huống khiến đường huyết tăng vọt có thể bạn chưa biết




























">
">
"> 
