20 tuổi bị đột quỵ do sử dụng thuốc gây nghiện
Một bệnh nhân trẻ ngoài 20 tuổi bị đột quỵ trên tiền căn sử dụng thuốc gây nghiện. Mặc dù nhiều khuyến cáo được truyền thông rộng rãi, các trường hợp thực tế đã xảy ra, nhưng nhiều người trẻ vẫn xem nhẹ mối nguy hại của chất gây nghiện.
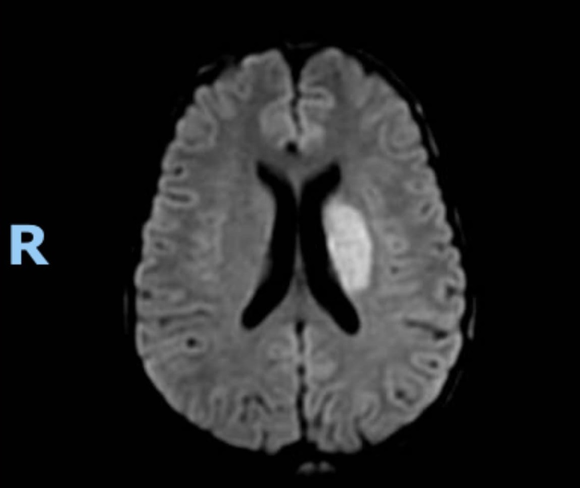
Mới đây, TS.BS Nguyễn Huy Thắng – Phó Chủ tịch Hội Đột quỵ Việt Nam, Chủ tịch Hội Đột quỵ TPHCM, Trưởng Khoa Bệnh lý mạch máu não Bệnh viện Nhân dân 115, chia sẻ trên trang cá nhân về một trường hợp bệnh nhân trẻ ngoài 20 tuổi, nhập viện trong tình trạng liệt nửa người phải. Bệnh nhân có tiền căn sử dụng thuốc gây nghiện. Khi nhập viện, các bác sĩ tiến hành chụp cộng hưởng từ não, cho hình ảnh nhồi máu não cấp vành tia T. Đây là bệnh nhân trẻ thứ hai gần đây, bị đột quỵ liên quan đến thuốc gây nghiện.
Chụp cộng hưởng từ não của bệnh nhân (ảnh: TS.BS Nguyễn Huy Thắng)
Chuyên gia khuyến cáo, với các bệnh nhân lớn tuổi, tăng huyết áp, tiểu đường, rối loạn chuyển hóa lipid, bệnh tim mạch… là những nguyên nhân chính dẫn đến đột quỵ. Còn ở người trẻ, chính lối sống với việc sử dụng thuốc lá, bia rượu và thuốc gây nghiện… đã làm cho đột quỵ đến sớm hơn rất nhiều so với dự kiến.
TS.BS Nguyễn Huy Thắng dẫn chứng báo cáo của World Drug Report 2017 cho thấy số người sử dụng thuốc gây nghiện lên đến 255 triệu trên toàn cầu vào năm 2015. Số ca tử vong liên quan đến sử dụng thuốc gây nghiện cũng gia tăng đáng kể. Đặc biệt, trong đó 67,5% trường hợp liên quan đến sử dụng Amphetamine, 49,7% liên quan Cocain, 29,6% liên quan thuốc giảm đau nhóm opioids và 23% còn lại liên quan đến các thuốc khác.
Tại Việt Nam đã có rất nhiều cảnh báo về thanh thiếu niên sử dụng Amphetamine ngày càng tăng trong những năm gần đây. Theo cảnh báo của vị chuyên gia về đột quỵ, nguy cơ mắc đột quỵ tăng gấp 4 lần và đột quỵ có thể xảy ra chỉ vài giờ sau khi sử dụng Amphetamine. Đáng tiếc là hầu hết trường hợp đột quỵ liên quan đến Amphetamine xảy ra trên những bệnh nhân trẻ. Những ca lâm sàng đầu tiên được báo cáo từ những năm 80 với cả hai thể là nhồi máu não do tắc mạch và xuất huyết não do vỡ mạch máu.
benhdotquy.net
Chóng mặt trong y khoa có những dạng nào thường gặp?
Trong y khoa, chóng mặt được chia thành nhiều dạng khác nhau, mỗi dạng gợi ý một nguyên nhân và hướng xử trí riêng. Việc phân biệt đúng loại chóng mặt ngay từ đầu giúp tránh bỏ sót bệnh lý nguy hiểm và điều trị hiệu quả hơn.
Multimedia
Theo dõi trên:Video
Hẹp động mạch vành: Nguy hiểm thế nào và do đâu?
Hẹp động mạch vành là tình trạng lòng mạch nuôi tim bị thu hẹp, làm giảm lượng máu và oxy đến cơ tim. Nếu không được phát hiện, kiểm soát và điều trị kịp thời, bệnh có thể tiến triển âm thầm nhưng dẫn đến nhiều biến cố nguy hiểm như nhồi máu cơ tim, suy tim, rối loạn nhịp tim, thậm chí đột tử. Vậy nguyên nhân nào gây hẹp động mạch vành và những yếu tố nguy cơ nào cần đặc biệt cảnh giác?
Sống sót sau đột quỵ, làm gì để không bị lần 2?
Giới trẻ và đột quỵ: Khi lối sống hiện đại trở thành sát thủ âm thầm
Giải mã mối quan hệ nguy hiểm giữa đái tháo đường và đột quỵ
Phòng Tránh Đột Quỵ – Bắt Đầu Từ 5 Bài Tập Đơn Giản
Ngăn đột quỵ ngay từ phút đầu – Những điều nên biết
7 tình huống khiến đường huyết tăng vọt có thể bạn chưa biết















">
">
"> 
